Antibody data
- Antibody Data
- Antigen structure
- References [0]
- Comments [0]
- Validations
- Immunohistochemistry [3]
Submit
Validation data
Reference
Comment
Report error
- Product number
- TA341057 - Provider product page

- Provider
- OriGene
- Product name
- Rabbit Polyclonal Anti-TRPM4 Antibody (C-Terminus)
- Antibody type
- Polyclonal
- Description
- Rabbit Polyclonal Anti-TRPM4 Antibody (C-Terminus)
- Host
- Rabbit
- Conjugate
- Unconjugated
- Epitope
- TRPM4
- Antibody clone number
- NULL
- Vial size
- 50 µg
- Concentration
- 1 mg/ml
No comments: Submit comment
Supportive validation
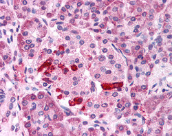
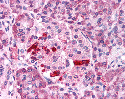
- Submitted by
- OriGene (provider)
- Main image

- Experimental details
- Anti-TRPM4 antibody IHC of human pancreas, islet. Immunohistochemistry of formalin-fixed, paraffin-embedded tissue after heat-induced antigen retrieval.
- Validation comment
- IHC
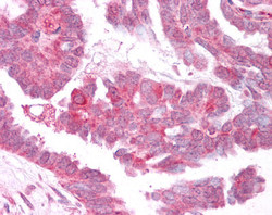
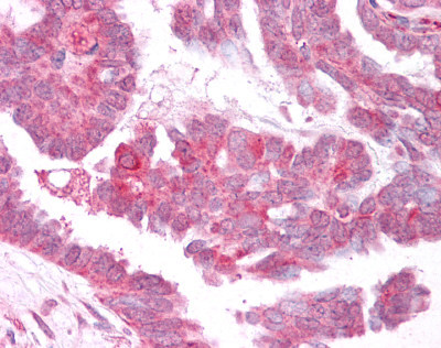
- Submitted by
- OriGene (provider)
- Main image

- Experimental details
- Anti-TRPM4 antibody IHC of human Ovary, Carcinoma. Immunohistochemistry of formalin-fixed, paraffin-embedded tissue after heat-induced antigen retrieval.
- Validation comment
- IHC
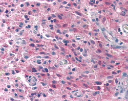
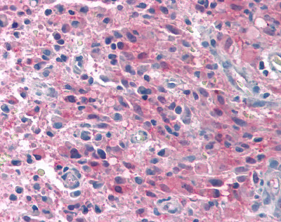
- Submitted by
- OriGene (provider)
- Main image

- Experimental details
- Anti-TRPM4 antibody IHC of human Brain, Glioblastoma. Immunohistochemistry of formalin-fixed, paraffin-embedded tissue after heat-induced antigen retrieval.
- Validation comment
- IHC