Antibody data
- Antibody Data
- Antigen structure
- References [0]
- Comments [0]
- Validations
- Immunocytochemistry [2]
- Immunohistochemistry [6]
Submit
Validation data
Reference
Comment
Report error
- Product number
- PA5-58812 - Provider product page

- Provider
- Invitrogen Antibodies
- Product name
- ANKRD13A Polyclonal Antibody
- Antibody type
- Polyclonal
- Antigen
- Recombinant protein fragment
- Description
- Immunogen sequence: FGNVNGCSTA EESVSQNVEG TQADSASHIT NFEVDQSVFE IPESYYVQDN GRNVHLQDED YEIMQFAI Highest antigen sequence identity to the following orthologs: Mouse - 82%, Rat - 86%.
- Reactivity
- Human
- Host
- Rabbit
- Isotype
- IgG
- Vial size
- 100 μL
- Concentration
- 0.5 mg/mL
- Storage
- Store at 4°C short term. For long term storage, store at -20°C, avoiding freeze/thaw cycles.
No comments: Submit comment
Supportive validation
- Submitted by
- Invitrogen Antibodies (provider)
- Main image

- Experimental details
- Immunofluorescent staining of AN13A in human cell line A-431 shows positivity in plasma membrane. Samples were probed using an AN13A Polyclonal Antibody (Product # PA5-58812).
- Submitted by
- Invitrogen Antibodies (provider)
- Main image

- Experimental details
- Immunofluorecent analysis of ANKRD13A in human cell line A-431 using ANKRD13A Polyclonal Antibody (Product # PA5-58812). Staining shows localization to plasma membrane.
Supportive validation
- Submitted by
- Invitrogen Antibodies (provider)
- Main image

- Experimental details
- Immunohistochemical staining of AN13A in human tonsil using an AN13A Polyclonal Antibody (Product # PA5-58812) shows strong cytoplasmic positivity in germinal center cells.
- Submitted by
- Invitrogen Antibodies (provider)
- Main image

- Experimental details
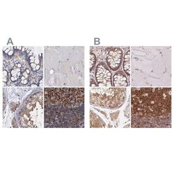
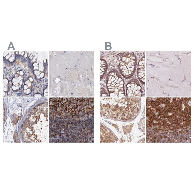
- Immunohistochemical staining of AN13A in human colon, skeletal muscle, testis and tonsil using AN13A Polyclonal Antibody (Product # PA5-58812) (A) shows similar protein distribution across tissues to an independent AN13A Polyclonal Antibody (B).
- Submitted by
- Invitrogen Antibodies (provider)
- Main image

- Experimental details
- Immunohistochemical staining of AN13A in human skeletal muscle using AN13A Polyclonal Antibody (Product # PA5-58812) shows low expression as expected.
- Submitted by
- Invitrogen Antibodies (provider)
- Main image

- Experimental details
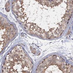
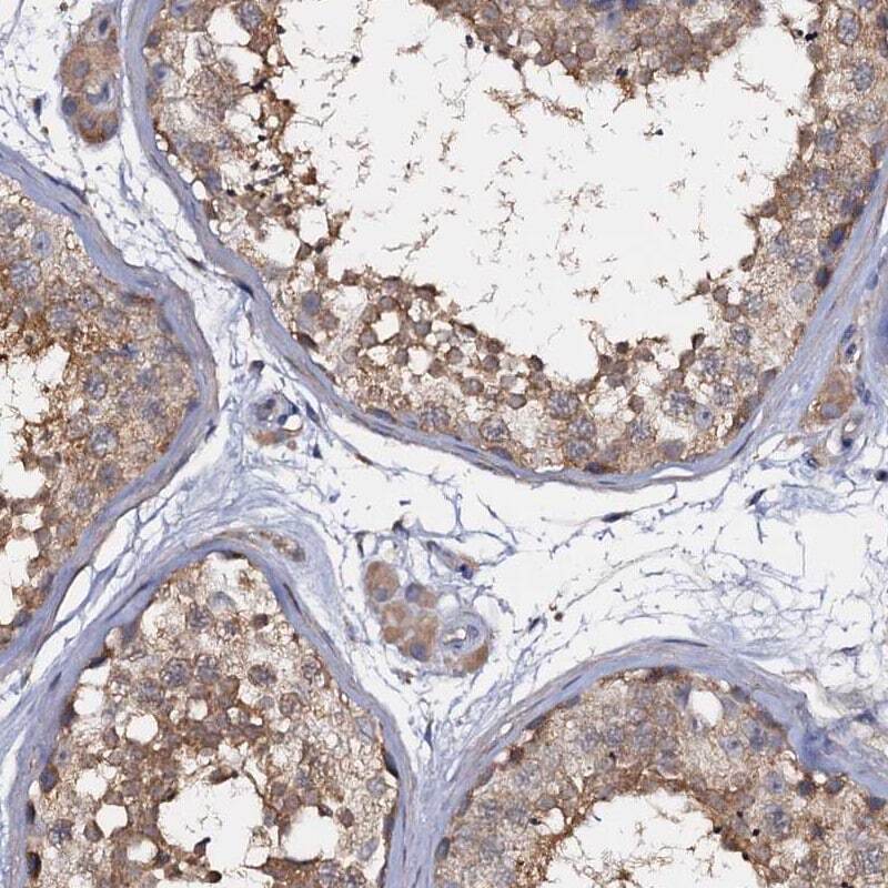
- Immunohistochemical staining of AN13A in human testis using AN13A Polyclonal Antibody (Product # PA5-58812) shows high expression.
- Submitted by
- Invitrogen Antibodies (provider)
- Main image

- Experimental details
- Immunohistochemical staining of AN13A in human colon using AN13A Polyclonal Antibody (Product # PA5-58812).
- Submitted by
- Invitrogen Antibodies (provider)
- Main image

- Experimental details
- Immunohistochemical staining of AN13A in human tonsil using AN13A Polyclonal Antibody (Product # PA5-58812).