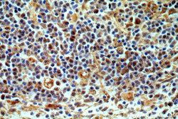
20117-1-AP IHC

Full details

Method: Other validation