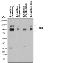
AF373 WB

Full details

Method: Other validation