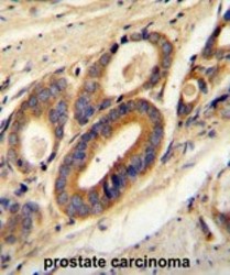
AP50303PU-N IHC

Full details

Method: Other validation