About Us
Contact
FAQ
For Providers
Sign in
Explore
Validate
Learn
Clear
Western blot
ELISA
Immunocytochemistry
Immunoprecipitation
Immunohistochemistry
Flow cytometry
Protein array
Blocking/Neutralizing
Immunoelectron microscopy
Functional assay
Gel shift
Radioimmunoassay
Proximity ligation assay
Chromatin Immunoprecipitation
Reverse phase protein array
Other assay
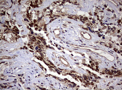
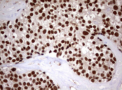
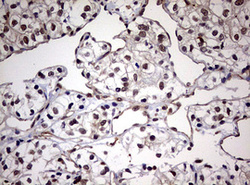
LS-C789373 IHC
Full details
Method:
Genetic validation
Method:
Other validation