About Us
Contact
FAQ
For Providers
Sign in
Explore
Validate
Learn
Clear
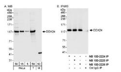
Western blot
ELISA
Immunocytochemistry
Immunoprecipitation
Immunohistochemistry
Flow cytometry
Protein array
Blocking/Neutralizing
Immunoelectron microscopy
Functional assay
Gel shift
Radioimmunoassay
Proximity ligation assay
Chromatin Immunoprecipitation
Reverse phase protein array
Other assay
NB100-2224 WB
Full details
Method:
Other validation