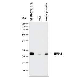
MAB971 WB

Full details

Method: Other validation