Antibody data
- Antibody Data
- Antigen structure
- References [10]
- Comments [0]
- Validations
- Western blot [1]
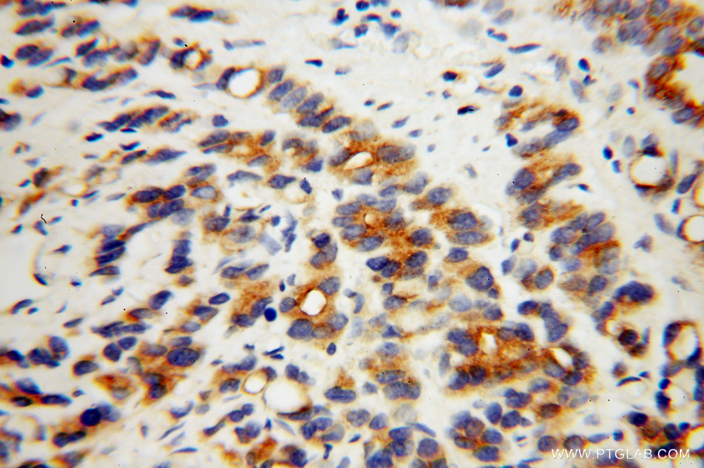
- Immunohistochemistry [2]
Submit
Validation data
Reference
Comment
Report error
- Product number
- 15029-1-AP - Provider product page

- Provider
- Proteintech Group
- Proper citation
- Proteintech Cat#15029-1-AP, RRID:AB_2177378
- Product name
- RAB3A antibody
- Antibody type
- Polyclonal
- Description
- KD/KO validated RAB3A antibody (Cat. #15029-1-AP) is a rabbit polyclonal antibody that shows reactivity with human, mouse, rat and has been validated for the following applications: IHC, IP, WB,ELISA.
- Reactivity
- Human, Mouse, Rat
- Host
- Rabbit
- Conjugate
- Unconjugated
- Isotype
- IgG
- Vial size
- 20ul, 150ul
Submitted references RAB3 phosphorylation by pathogenic LRRK2 impairs trafficking of synaptic vesicle precursors.
Long non-coding RNA GNAS-AS1 knockdown inhibits proliferation and epithelial-mesenchymal transition of lung adenocarcinoma cells via the microRNA-433-3p/Rab3A axis.
Overexpression of synaptic vesicle protein Rab GTPase 3C promotes vesicular exocytosis and drug resistance in colorectal cancer cells.
RAB3 phosphorylation by pathogenic LRRK2 impairs trafficking of synaptic vesicle precursors.
In situ cell-type-specific cell-surface proteomic profiling in mice.
O-GlcNAcylation on Rab3A attenuates its effects on mitochondrial oxidative phosphorylation and metastasis in hepatocellular carcinoma.
Zoledronate modulates intracellular vesicle trafficking in mast cells via disturbing the interaction of myosinVa/Rab3a and sytaxin4/VAMP7.
Secretory RAB GTPase 3C modulates IL6-STAT3 pathway to promote colon cancer metastasis and is associated with poor prognosis.
RanBP9 overexpression accelerates loss of pre and postsynaptic proteins in the APΔE9 transgenic mouse brain.
Role of RanBP9 on amyloidogenic processing of APP and synaptic protein levels in the mouse brain.
Dou D, Aiken J, Holzbaur ELF
The Journal of cell biology 2024 Jun 3;223(6)
The Journal of cell biology 2024 Jun 3;223(6)
Long non-coding RNA GNAS-AS1 knockdown inhibits proliferation and epithelial-mesenchymal transition of lung adenocarcinoma cells via the microRNA-433-3p/Rab3A axis.
He J, Xi X, Cao P, Zhou J, Liu H, Li N
Open medicine (Warsaw, Poland) 2023;18(1):20230740
Open medicine (Warsaw, Poland) 2023;18(1):20230740
Overexpression of synaptic vesicle protein Rab GTPase 3C promotes vesicular exocytosis and drug resistance in colorectal cancer cells.
Chang YC, Li CH, Chan MH, Fang CY, Zhang ZX, Chen CL, Hsiao M
Molecular oncology 2023 Mar;17(3):422-444
Molecular oncology 2023 Mar;17(3):422-444
RAB3 phosphorylation by pathogenic LRRK2 impairs trafficking of synaptic vesicle precursors.
Dou D, Aiken J, Holzbaur ELF
bioRxiv : the preprint server for biology 2023 Jul 25;
bioRxiv : the preprint server for biology 2023 Jul 25;
In situ cell-type-specific cell-surface proteomic profiling in mice.
Shuster SA, Li J, Chon U, Sinantha-Hu MC, Luginbuhl DJ, Udeshi ND, Carey DK, Takeo YH, Xie Q, Xu C, Mani DR, Han S, Ting AY, Carr SA, Luo L
Neuron 2022 Dec 7;110(23):3882-3896.e9
Neuron 2022 Dec 7;110(23):3882-3896.e9
O-GlcNAcylation on Rab3A attenuates its effects on mitochondrial oxidative phosphorylation and metastasis in hepatocellular carcinoma.
Wu W, Zheng X, Wang J, Yang T, Dai W, Song S, Fang L, Wang Y, Gu J
Cell death & disease 2018 Sep 20;9(10):970
Cell death & disease 2018 Sep 20;9(10):970
Zoledronate modulates intracellular vesicle trafficking in mast cells via disturbing the interaction of myosinVa/Rab3a and sytaxin4/VAMP7.
Liu S, Sahid MNA, Takemasa E, Maeyama K, Mogi M
Biochemical pharmacology 2018 May;151:18-25
Biochemical pharmacology 2018 May;151:18-25
Secretory RAB GTPase 3C modulates IL6-STAT3 pathway to promote colon cancer metastasis and is associated with poor prognosis.
Chang YC, Su CY, Chen MH, Chen WS, Chen CL, Hsiao M
Molecular cancer 2017 Aug 7;16(1):135
Molecular cancer 2017 Aug 7;16(1):135
RanBP9 overexpression accelerates loss of pre and postsynaptic proteins in the APΔE9 transgenic mouse brain.
Wang H, Wang R, Xu S, Lakshmana MK
PloS one 2014;9(1):e85484
PloS one 2014;9(1):e85484
Role of RanBP9 on amyloidogenic processing of APP and synaptic protein levels in the mouse brain.
Lakshmana MK, Hayes CD, Bennett SP, Bianchi E, Reddy KM, Koo EH, Kang DE
FASEB journal : official publication of the Federation of American Societies for Experimental Biology 2012 May;26(5):2072-83
FASEB journal : official publication of the Federation of American Societies for Experimental Biology 2012 May;26(5):2072-83
No comments: Submit comment
Supportive validation
- Submitted by
- Proteintech Group (provider)
- Main image

- Experimental details
- mouse brain tissue were subjected to SDS PAGE followed by western blot with 15029-1-AP(RAB3A antibody) at dilution of 1:1000
- Sample type
- tissue
Supportive validation
- Submitted by
- Proteintech Group (provider)
- Main image

- Experimental details
- Immunohistochemical of paraffin-embedded human gliomas using 15029-1-AP(RAB3A antibody) at dilution of 1:100 (under 10x lens)
- Sample type
- tissue
- Submitted by
- Proteintech Group (provider)
- Main image

- Experimental details
- The RAB3A antibody from Proteintech is a rabbit polyclonal antibody to a recombinant protein of human RAB3A. This antibody recognizes human, mouse, rat antigen. The RAB3A antibody has been validated for the following applications: ELISA, WB, IHC analysis.