Antibody data
- Antibody Data
- Antigen structure
- References [3]
- Comments [0]
- Validations
- Western blot [1]
- Immunohistochemistry [1]
Submit
Validation data
Reference
Comment
Report error
- Product number
- PAB13289 - Provider product page

- Provider
- Abnova Corporation
- Proper citation
- Abnova Corporation Cat#PAB13289, RRID:AB_10556486
- Product name
- PTK7 polyclonal antibody
- Antibody type
- Polyclonal
- Description
- Rabbit polyclonal antibody raised against synthetic peptide of PTK7.
- Storage
- Store at 4°C for three months. For long term storage store at -20°C.Aliquot to avoid repeated freezing and thawing.
Submitted references PTK7/CCK-4 is a novel regulator of planar cell polarity in vertebrates.
High-throughput analysis of genome-wide receptor tyrosine kinase expression in human cancers identifies potential novel drug targets.
Loss of expression of receptor tyrosine kinase family genes PTK7 and SEK in metastatic melanoma.
Lu X, Borchers AG, Jolicoeur C, Rayburn H, Baker JC, Tessier-Lavigne M
Nature 2004 Jul 1;430(6995):93-8
Nature 2004 Jul 1;430(6995):93-8
High-throughput analysis of genome-wide receptor tyrosine kinase expression in human cancers identifies potential novel drug targets.
Müller-Tidow C, Schwäble J, Steffen B, Tidow N, Brandt B, Becker K, Schulze-Bahr E, Halfter H, Vogt U, Metzger R, Schneider PM, Büchner T, Brandts C, Berdel WE, Serve H
Clinical cancer research : an official journal of the American Association for Cancer Research 2004 Feb 15;10(4):1241-9
Clinical cancer research : an official journal of the American Association for Cancer Research 2004 Feb 15;10(4):1241-9
Loss of expression of receptor tyrosine kinase family genes PTK7 and SEK in metastatic melanoma.
Easty DJ, Mitchell PJ, Patel K, Flørenes VA, Spritz RA, Bennett DC
International journal of cancer 1997 Jun 11;71(6):1061-5
International journal of cancer 1997 Jun 11;71(6):1061-5
No comments: Submit comment
Supportive validation
- Submitted by
- Abnova Corporation (provider)
- Main image

- Experimental details
- Western blot analysis of PTK7 in (A) human colon, (B) mouse kidney and (C) rat liver tissue lysate with PTK7 polyclonal antibody (Cat # PAB13289) at 1 ug/mL .
Supportive validation
- Submitted by
- Abnova Corporation (provider)
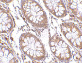
- Main image

- Experimental details
- Immunohistochemistry of PTK7 in human colon tissue with PTK7 polyclonal antibody (Cat # PAB13289) at 2.5 ug/mL .
- Validation comment
- Immunohistochemistry (Formalin/PFA-fixed paraffin-embedded sections)