sc-55520
antibody from Santa Cruz Biotechnology
		Targeting: FGF1
		
		AFGF, ECGF, ECGF-beta, ECGFA, ECGFB, FGF-alpha, FGFA, GLIO703, HBGF1	
	
	
	
	
Antibody data
- Antibody Data
- Antigen structure
- References [1]
- Comments [0]
- Validations
- Western blot [1]
- Immunohistochemistry [1]
Submit
Validation data
Reference
Comment
Report error
- Product number
- sc-55520 - Provider product page 
- Provider
- Santa Cruz Biotechnology
- Proper citation
- Santa Cruz Biotechnology Cat#sc-55520, RRID:AB_629473
- Product name
- Anti-FGF1
- Antibody type
- Monoclonal
- Reactivity
- Human
- Host
- Mouse
Submitted references		Rare Lipomatous Tumors with Osseous and/or Chondroid Differentiation in the Oral Cavity Report of Two Cases and Review of the Literature.
				
		
	
			Kuyama K, Fifita SF, Komiya M, Sun Y, Akimoto Y, Yamamoto H
International journal of dentistry 2009;2009:143460
		International journal of dentistry 2009;2009:143460
				No comments: Submit comment	
	
			
							
					Supportive validation
					
									
				
				- Submitted by
- per
- Main image
 
- Experimental details
- Western blot analysis of antibody specificity using a routine panel composed of IgG/HSA-depleted human plasma and protein lysates from selected human tissues and cell lines.
- Validation comment
- Single band differing more than +/-20% from predicted size in kDa and not supported by experimental and/or bioinformatic data.
- Primary Ab dilution
- 1:500
- Secondary Ab dilution
- 1:7000
- Lane 1
- Marker [kDa]: 250, 130, 95, 72, 55, 36, 28, 17, 11
- Lane 2
- RT-4
- Lane 3
- U-251MG sp
- Lane 4
- Human Plasma
- Lane 5
- Liver
- Lane 6
- Tonsil
- Theoretical target weight
- [kDa] 17
							
					Supportive validation
					
									
				
		- Submitted by
- per
- Main image
 
- Experimental details
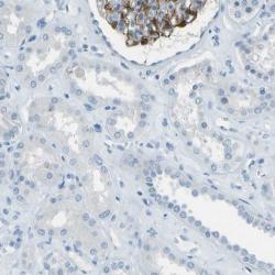
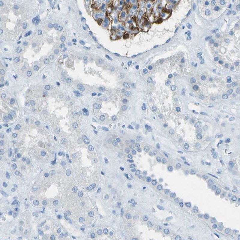
- Immunohistochemical staining of human kidney shows strong cytoplasmic positivity in subsets of glomerular cells.
- Validation comment
- Staining pattern partly consistent with experimental and/or bioinformatic data.