AF232
antibody from Novus Biologicals
Targeting: FGF1
AFGF, ECGF, ECGF-beta, ECGFA, ECGFB, FGF-alpha, FGFA, GLIO703, HBGF1
Antibody data
- Antibody Data
- Antigen structure
- References [6]
- Comments [0]
- Validations
- Western blot [2]
- Immunohistochemistry [1]
- Blocking/Neutralizing [2]
Submit
Validation data
Reference
Comment
Report error
- Product number
- AF232 - Provider product page

- Provider
- Novus Biologicals
- Product name
- Goat Polyclonal FGF acidic/FGF1 Antibody
- Antibody type
- Polyclonal
- Description
- Antigen Affinity-purified. Detects human FGF acidic/FGF1 in direct ELISAs and Western blots. In direct ELISAs, approximately 100% cross-reactivity with recombinant mouse FGF acidic/FGF1 is observed. Neutralizes the biological activity of rhFGF acidic/FGF1. It will also neutralize the biological activity of rh beta-ECGF and bovine FGF acidic/FGF1, although 2-3 times the amount of IgG is required to neutralize bovine FGF acidic/FGF1 biological activity.
- Reactivity
- Human
- Host
- Goat
- Conjugate
- Unconjugated
- Isotype
- IgG
- Vial size
- 100 ug
- Concentration
- LYOPH
- Storage
- Use a manual defrost freezer and avoid repeated freeze-thaw cycles. 12 months from date of receipt, -20 to -70 degreesC as supplied. 1 month, 2 to 8 degreesC under sterile conditions after reconstitution. 6 months, -20 to -70 degreesC under sterile conditions after reconstitution.
Submitted references Pituitary Adenylate Cyclase-Activating Peptide (PACAP), a Novel Secretagogue, Regulates Secreted Morphogens in Newborn Rat Retina.
Beneficial effects of coculturing synovial derived mesenchymal stem cells with meniscus fibrochondrocytes are mediated by fibroblast growth factor 1: increased proliferation and collagen synthesis.
WNT7A/β-catenin signaling induces FGF1 and influences sensitivity to niclosamide in ovarian cancer.
Reduction of brain metastases in plasminogen activator inhibitor-1-deficient mice with transgenic ocular tumors.
Molecular profiling of cervical cancer progression.
FGFR2b signaling regulates ex vivo submandibular gland epithelial cell proliferation and branching morphogenesis.
Lakk M, Denes V, Kovacs K, Hideg O, Szabo BF, Gabriel R
Investigative ophthalmology & visual science 2017 Jan 1;58(1):565-572
Investigative ophthalmology & visual science 2017 Jan 1;58(1):565-572
Beneficial effects of coculturing synovial derived mesenchymal stem cells with meniscus fibrochondrocytes are mediated by fibroblast growth factor 1: increased proliferation and collagen synthesis.
Song X, Xie Y, Liu Y, Shao M, Wang W
Stem cells international 2015;2015:926325
Stem cells international 2015;2015:926325
WNT7A/β-catenin signaling induces FGF1 and influences sensitivity to niclosamide in ovarian cancer.
King ML, Lindberg ME, Stodden GR, Okuda H, Ebers SD, Johnson A, Montag A, Lengyel E, MacLean Ii JA, Hayashi K
Oncogene 2015 Jun;34(26):3452-62
Oncogene 2015 Jun;34(26):3452-62
Reduction of brain metastases in plasminogen activator inhibitor-1-deficient mice with transgenic ocular tumors.
Maillard CM, Bouquet C, Petitjean MM, Mestdagt M, Frau E, Jost M, Masset AM, Opolon PH, Beermann F, Abitbol MM, Foidart JM, Perricaudet MJ, Noël AC
Carcinogenesis 2008 Nov;29(11):2236-42
Carcinogenesis 2008 Nov;29(11):2236-42
Molecular profiling of cervical cancer progression.
Hagemann T, Bozanovic T, Hooper S, Ljubic A, Slettenaar VI, Wilson JL, Singh N, Gayther SA, Shepherd JH, Van Trappen PO
British journal of cancer 2007 Jan 29;96(2):321-8
British journal of cancer 2007 Jan 29;96(2):321-8
FGFR2b signaling regulates ex vivo submandibular gland epithelial cell proliferation and branching morphogenesis.
Steinberg Z, Myers C, Heim VM, Lathrop CA, Rebustini IT, Stewart JS, Larsen M, Hoffman MP
Development (Cambridge, England) 2005 Mar;132(6):1223-34
Development (Cambridge, England) 2005 Mar;132(6):1223-34
No comments: Submit comment
Supportive validation
- Submitted by
- Novus Biologicals (provider)
- Main image

- Experimental details
- Detection of Human FGF acidic by Western Blot. Western blot shows lysates of human brain (hypothalamas) tissue and human heart tissue. PVDF membrane was probed with 0.25 µg/mL of Goat Anti-Human FGF acidic Antigen Affinity-purified Polyclonal Antibody (Catalog # AF232) followed by HRP-conjugated Anti-Goat IgG Secondary Antibody (Catalog # HAF017). A specific band was detected for FGF acidic at approximately 16-17 kDa (as indicated). This experiment was conducted under reducing conditions and using Immunoblot Buffer Group 1.
- Submitted by
- Novus Biologicals (provider)
- Main image

- Experimental details
- Detection of Human FGF acidic by Simple WesternTM. Simple Western lane view shows lysates of human brain (hypothalamus) tissue, loaded at 0.2 mg/mL. A specific band was detected for FGF acidic at approximately 25 kDa (as indicated) using 2.5 µg/mL of Goat Anti-Human FGF acidic Antigen Affinity-purified Polyclonal Antibody (Catalog # AF232) followed by 1:50 dilution of HRP-conjugated Anti-Goat IgG Secondary Antibody (Catalog # HAF109). This experiment was conducted under reducing conditions and using the 12-230 kDa separation system.
Supportive validation
- Submitted by
- Novus Biologicals (provider)
- Main image

- Experimental details
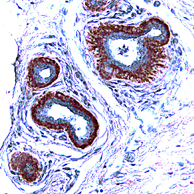
- FGF acidic in Human Breast. FGF acidic was detected in immersion fixed paraffin-embedded sections of human breast using Goat Anti-Human FGF acidic Antigen Affinity-purified Polyclonal Antibody (Catalog # AF232) at 15 µg/mL overnight at 4 °C. Tissue was stained using the Anti-Goat HRP-DAB Cell & Tissue Staining Kit (brown; Catalog # CTS008) and counterstained with hematoxylin (blue). Specific staining was localized to epithelial cells. View our protocol for Chromogenic IHC Staining of Paraffin-embedded Tissue Sections.
Supportive validation
- Submitted by
- Novus Biologicals (provider)
- Main image

- Experimental details
- Cell Proliferation Induced by FGF acidic and Neutralization by Human FGF acidic Antibody. Recombinant Human FGF acidic aa 16-155 (Catalog # 232-FA) stimulates proliferation in the the NR6R-3T3 mouse fibroblast cell line in a dose-dependent manner (orange line). Proliferation elicited by Recombinant Human FGF acidic aa 16-155 (0.75 ng/mL) is neutralized (green line) by increasing concentrations of Goat Anti-Human FGF acidic Antigen Affinity-purified Polyclonal Antibody (Catalog # AF232). The ND50 is typically 0.25-0.75 µg/mL in the presence of heparin (10 µg/mL).
- Submitted by
- Novus Biologicals (provider)
- Main image

- Experimental details
- Cell Proliferation Induced by FGF acidic/FGF1 and Neutralization by Human FGF acidic/FGF1 Antibody. Cell Proliferation Induced by FGF acidic/FGF1 and Neutralization by Human FGF acidic/FGF1 Antibody.