H00002246-M02
antibody from Invitrogen Antibodies
Targeting: FGF1
AFGF, ECGF, ECGF-beta, ECGFA, ECGFB, FGF-alpha, FGFA, GLIO703, HBGF1
Antibody data
- Antibody Data
- Antigen structure
- References [0]
- Comments [0]
- Validations
- Western blot [1]
- ELISA [1]
- Immunocytochemistry [1]
- Immunohistochemistry [1]
- Other assay [2]
Submit
Validation data
Reference
Comment
Report error
- Product number
- H00002246-M02 - Provider product page

- Provider
- Invitrogen Antibodies
- Product name
- FGF1 Monoclonal Antibody (2E12)
- Antibody type
- Monoclonal
- Antigen
- Recombinant full-length protein
- Reactivity
- Human
- Host
- Mouse
- Isotype
- IgG
- Antibody clone number
- 2E12
- Vial size
- 100 µg
- Concentration
- See Label
- Storage
- -20° C, Avoid Freeze/Thaw Cycles
No comments: Submit comment
Supportive validation
- Submitted by
- Invitrogen Antibodies (provider)
- Main image

- Experimental details
- Western Blot analysis of FGF1 expression in transfected 293T cell line by FGF1 monoclonal antibody (M02), clone 2E12.Lane 1: FGF1 transfected lysate(17.5 KDa).Lane 2: Non-transfected lysate.
Supportive validation
- Submitted by
- Invitrogen Antibodies (provider)
- Main image

- Experimental details
- Detection limit for recombinant GST tagged FGF1 is approximately 10 ng/mL as a capture antibody.
Supportive validation
- Submitted by
- Invitrogen Antibodies (provider)
- Main image

- Experimental details
- Immunofluorescence of monoclonal antibody to FGF1 on HeLa cell. Antibody concentration is 10 µg/mL.
Supportive validation
- Submitted by
- Invitrogen Antibodies (provider)
- Main image

- Experimental details
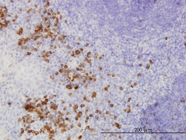
- Immunoperoxidase of monoclonal antibody to FGF1 on formalin-fixed paraffin-embedded human tonsil. Antibody concentration is 3 µg/mL.
Supportive validation
- Submitted by
- Invitrogen Antibodies (provider)
- Main image

- Experimental details
- Detection limit for recombinant GST tagged FGF1 is approximately 10 ng/mL as a capture antibody.
- Submitted by
- Invitrogen Antibodies (provider)
- Main image

- Experimental details
- Immunoprecipitation of FGF1 transfected lysate using anti-FGF1 monoclonal antibody and Protein A Magnetic Bead, and immunoblotted with FGF1 MaxPab rabbit polyclonal antibody.