Antibody data
- Antibody Data
- Antigen structure
- References [2]
- Comments [0]
- Validations
- Western blot [2]
- Immunocytochemistry [1]
- Immunohistochemistry [2]
Submit
Validation data
Reference
Comment
Report error
- Product number
- NBP1-28487 - Provider product page

- Provider
- Novus Biologicals
- Proper citation
- Novus Cat#NBP1-28487, RRID:AB_1853419
- Product name
- Goat Polyclonal OXTR Antibody
- Antibody type
- Polyclonal
- Description
- Immunogen affinity purified.
- Reactivity
- Human, Rat
- Host
- Goat
- Antigen sequence
C terminus- Isotype
- IgG
- Vial size
- 0.1 mg
- Concentration
- 0.5 mg/ml
- Storage
- Store at -20C. Avoid freeze-thaw cycles.
Submitted references Hypothalamic oxytocin mRNA expression and melancholic depression.
Oxytocin, oxytocin-associated neurophysin and the oxytocin receptor in the human prostate.
Meynen G, Unmehopa UA, Hofman MA, Swaab DF, Hoogendijk WJ
Molecular psychiatry 2007 Feb;12(2):118-9
Molecular psychiatry 2007 Feb;12(2):118-9
Oxytocin, oxytocin-associated neurophysin and the oxytocin receptor in the human prostate.
Whittington K, Assinder S, Gould M, Nicholson H
Cell and tissue research 2004 Nov;318(2):375-82
Cell and tissue research 2004 Nov;318(2):375-82
No comments: Submit comment
Supportive validation
- Submitted by
- Novus Biologicals (provider)
- Main image

- Experimental details
- Western Blot: OXTR Antibody [NBP1-28487] - Staining of lysates of PC3 cells treated in several ways (50,000 cells per lane). Reprobed for alpha-tubulin (50kDa) to serve as loading control (OXTR antibody incubation was overnight. Detected by chemiluminescence.
- Submitted by
- Novus Biologicals (provider)
- Main image

- Experimental details
- Western Blot: OXTR Antibody [NBP1-28487] - (0.5ug/ml) staining of Rat Uterus (U) and Rat Skeletal Muscle (M) lysates (35ug protein in RIPA buffer). Data obtained from Maree Gould, University of Otago, New Zealand. Primary incubation was 1 hour. Detected by chemiluminescence.
Supportive validation
- Submitted by
- Novus Biologicals (provider)
- Main image

- Experimental details
- Immunocytochemistry/Immunofluorescence: OXTR Antibody [NBP1-28487] - Staining of Human Prostate stromal cells. Overnight incubation at 4C and detected with Alexafluor secondary conjugated antibody.
Supportive validation
- Submitted by
- Novus Biologicals (provider)
- Main image

- Experimental details
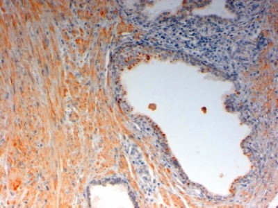
- Immunohistochemistry-Paraffin: OXTR Antibody [NBP1-28487] - (2ug/ml) staining of paraffin embedded Human Prostate Cancer. Steamed antigen retrieval with citrate buffer pH 6, HRP-staining.
- Submitted by
- Novus Biologicals (provider)
- Main image

- Experimental details
- Immunohistochemistry-Paraffin: OXTR Antibody [NBP1-28487] - (5ug/ml) staining of PC3 cells. Detected by DAB. This data was obtained using a previous batch