Antibody data
- Antibody Data
 - Antigen structure
 - References [0]
 - Comments [0]
 - Validations
 - Western blot [2]
 - Immunocytochemistry [2]
 - Immunohistochemistry [11]
 - Flow cytometry [3]
 
Submit
Validation data
Reference
Comment
Report error
- Product number
 - RQ5627 - Provider product page

 - Provider
 - NSJ Bioreagents
 - Product name
 - DHX15 Antibody / Prp43
 - Antibody type
 - Polyclonal
 - Description
 - This highly specific DHX15 antibody is suitable for use in Western blot/Immunohistochemistry/Immunofluorescence/Flow cytometry applications with human, mouse and rat samples.
 - Reactivity
 - Human, Mouse, Rat
 - Host
 - Rabbit
 - Conjugate
 - Unconjugated
 - Vial size
 - 100 ug
 - Concentration
 - 0.5mg/ml if reconstituted with 0.2ml sterile DI water
 - Storage
 - After reconstitution, the DHX15 antibody can be stored for up to one month at 4oC. For long-term, aliquot and store at -20oC. Avoid repeated freezing and thawing.
 
				No comments: Submit comment	
	
			
							
					Supportive validation
					
									
				
				- Submitted by
 - NSJ Bioreagents (provider)
 - Main image
 
- Experimental details
 - Western blot testing of human 1) HeLa, 2) HEK293 and 3) Caco-2 lysate with DHX15 antibody. Predicted molecular weight ~91 kDa.
 
- Submitted by
 - NSJ Bioreagents (provider)
 - Main image
 
- Experimental details
 - Western blot testing of 1) human HeLa, 2) human 293T, 3) human Caco-2, 4) human HEL, 5) human RT4, 6) human A549, 7) human A431, 8) human U-251, 9) rat C6 and 10) mouse thymus tissue lysate with DHX15 antibody. Predicted molecular weight ~91 kDa.
 
							
					Supportive validation
					
									
				
				- Submitted by
 - NSJ Bioreagents (provider)
 - Main image
 
- Experimental details
 - Immunofluorescent staining of FFPE human U-2 OS cells with DHX15 antibody (red) and DAPI nuclear stain (blue). HIER: steam section in pH6 citrate buffer for 20 min.
 
- Submitted by
 - NSJ Bioreagents (provider)
 - Main image
 
- Experimental details
 - Immunofluorescent staining of FFPE human U-2 OS cells with DHX15 antibody (green) and Beta Tubulin mAb (red). HIER: steam section in pH6 citrate buffer for 20 min.
 
							
					Supportive validation
					
									
				
				- Submitted by
 - NSJ Bioreagents (provider)
 - Main image
 
- Experimental details
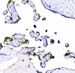
 - IHC staining of FFPE human placenta with DHX15 antibody. HIER: boil tissue sections in pH8 EDTA for 20 min and allow to cool before testing.
 
- Submitted by
 - NSJ Bioreagents (provider)
 - Main image
 
- Experimental details
 - IHC staining of FFPE human placenta with DHX15 antibody. HIER: boil tissue sections in pH8 EDTA for 20 min and allow to cool before testing.
 
- Submitted by
 - NSJ Bioreagents (provider)
 - Main image
 
- Experimental details
 - IHC staining of FFPE mouse brain with DHX15 antibody. HIER: boil tissue sections in pH8 EDTA for 20 min and allow to cool before testing.
 
- Submitted by
 - NSJ Bioreagents (provider)
 - Main image
 
- Experimental details
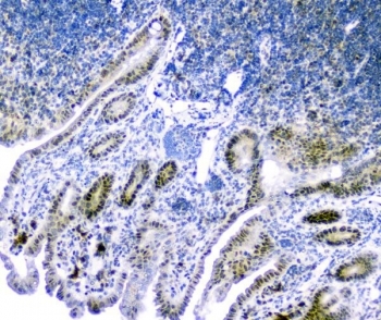
 - IHC staining of FFPE mouse small intestine with DHX15 antibody. HIER: boil tissue sections in pH8 EDTA for 20 min and allow to cool before testing.
 
- Submitted by
 - NSJ Bioreagents (provider)
 - Main image
 
- Experimental details
 - IHC staining of FFPE mouse small intestine with DHX15 antibody. HIER: boil tissue sections in pH8 EDTA for 20 min and allow to cool before testing.
 
- Submitted by
 - NSJ Bioreagents (provider)
 - Main image
 
- Experimental details
 - IHC staining of FFPE rat brain with DHX15 antibody. HIER: boil tissue sections in pH8 EDTA for 20 min and allow to cool before testing.
 
- Submitted by
 - NSJ Bioreagents (provider)
 - Main image
 
- Experimental details
 - IHC staining of FFPE rat small intestine with DHX15 antibody. HIER: boil tissue sections in pH8 EDTA for 20 min and allow to cool before testing.
 
- Submitted by
 - NSJ Bioreagents (provider)
 - Main image
 
- Experimental details
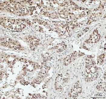
 - IHC staining of FFPE human prostate cancer tissue with DHX15 antibody. HIER: boil tissue sections in pH8 EDTA for 20 min and allow to cool before testing.
 
- Submitted by
 - NSJ Bioreagents (provider)
 - Main image
 
- Experimental details
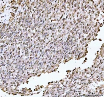
 - IHC staining of FFPE human liver cancer tissue with DHX15 antibody. HIER: boil tissue sections in pH8 EDTA for 20 min and allow to cool before testing.
 
- Submitted by
 - NSJ Bioreagents (provider)
 - Main image
 
- Experimental details
 - IHC staining of FFPE human testicular germ cell tumor tissue with DHX15 antibody. HIER: boil tissue sections in pH8 EDTA for 20 min and allow to cool before testing.
 
- Submitted by
 - NSJ Bioreagents (provider)
 - Main image
 
- Experimental details
 - IHC staining of FFPE human colorectal adenocarcinoma tissue with DHX15 antibody. HIER: boil tissue sections in pH8 EDTA for 20 min and allow to cool before testing.
 
							
					Supportive validation
					
									
				
		- Submitted by
 - NSJ Bioreagents (provider)
 - Main image
 
- Experimental details
 - Flow cytometry testing of mouse ANA-1 cells with DHX15 antibody at 1ug/million cells (blocked with goat sera); Red=cells alone, Green=isotype control, Blue= DHX15 antibody.
 
- Submitted by
 - NSJ Bioreagents (provider)
 - Main image
 
- Experimental details
 - Flow cytometry testing of A431 cells with DHX15 antibody at 1ug/million cells (blocked with goat sera); Red=cells alone, Green=isotype control, Blue= DHX15 antibody.
 
- Submitted by
 - NSJ Bioreagents (provider)
 - Main image
 
- Experimental details
 - Flow cytometry testing of fixed and permeabilized human HeLa cells with DHX15 antibody at 1ug/million cells (blocked with goat sera); Red=cells alone, Green=isotype control, Blue= DHX15 antibody.