Antibody data
- Antibody Data
- Antigen structure
- References [0]
- Comments [0]
- Validations
- Western blot [3]
- Immunohistochemistry [11]
Submit
Validation data
Reference
Comment
Report error
- Product number
- NBP1-90626 - Provider product page

- Provider
- Novus Biologicals
- Proper citation
- Novus Cat#NBP1-90626, RRID:AB_11006411
- Product name
- Rabbit Polyclonal CD2AP Antibody
- Antibody type
- Polyclonal
- Description
- Immunogen affinity purified. Specificity of human, mouse, rat CD2AP antibody verified on a Protein Array containing target protein plus 383 other non-specific proteins.
- Reactivity
- Human, Mouse, Rat
- Host
- Rabbit
- Isotype
- IgG
- Vial size
- 0.1 ml
- Storage
- Store at 4C short term. Aliquot and store at -20C long term. Avoid freeze-thaw cycles.
No comments: Submit comment
Supportive validation
- Submitted by
- Novus Biologicals (provider)
- Main image

- Experimental details
- Western Blot: CD2AP Antibody [NBP1-90626] - Analysis in mouse cell line NIH-3T3 and rat cell line NBT-II.
- Submitted by
- Novus Biologicals (provider)
- Main image

- Experimental details
- Western Blot: CD2AP Antibody [NBP1-90626] - Analysis in human cell line CACO-2.
- Submitted by
- Novus Biologicals (provider)
- Main image

- Experimental details
- Western Blot: CD2AP Antibody [NBP1-90626] - Analysis in human cell lines A-431 and PC-3 using anti-CD2AP antibody. Corresponding CD2AP RNA-seq data are presented for the same cell lines. Loading control: anti-PFN1.
Supportive validation
- Submitted by
- Novus Biologicals (provider)
- Main image

- Experimental details
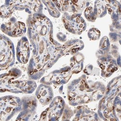
- Immunohistochemistry-Paraffin: CD2AP Antibody [NBP1-90626] - Staining of human placenta shows high expression.
- Submitted by
- Novus Biologicals (provider)
- Main image

- Experimental details
- Immunohistochemistry-Paraffin: CD2AP Antibody [NBP1-90626] - Staining of human cerebral cortex shows low expression as expected.
- Submitted by
- Novus Biologicals (provider)
- Main image

- Experimental details
- Immunohistochemistry-Paraffin: CD2AP Antibody [NBP1-90626] - Staining of human kidney.
- Submitted by
- Novus Biologicals (provider)
- Main image

- Experimental details
- Immunohistochemistry-Paraffin: CD2AP Antibody [NBP1-90626] - Staining of human testis.
- Submitted by
- Novus Biologicals (provider)
- Main image

- Experimental details
- Immunohistochemistry-Paraffin: CD2AP Antibody [NBP1-90626] - Staining of human kidney shows moderate membranous positivity in cells in glomeruli.
- Submitted by
- Novus Biologicals (provider)
- Main image

- Experimental details
- Immunohistochemistry-Paraffin: CD2AP Antibody [NBP1-90626] - Staining of human skeletal muscle shows no positivity in myocytes.
- Submitted by
- Novus Biologicals (provider)
- Main image

- Experimental details
- Immunohistochemistry-Paraffin: CD2AP Antibody [NBP1-90626] - Staining of human small intestine shows moderate granular positivity in cytoplasm in glandular cells.
- Submitted by
- Novus Biologicals (provider)
- Main image

- Experimental details
- Immunohistochemistry-Paraffin: CD2AP Antibody [NBP1-90626] - Analysis in human small intestine and skeletal muscle tissues. Corresponding CD2AP RNA-seq data are presented for the same tissues.
- Submitted by
- Novus Biologicals (provider)
- Main image

- Experimental details
- Immunohistochemistry-Paraffin: CD2AP Antibody [NBP1-90626] - Staining of human placenta shows moderate to strong cytoplasmic positivity in trophoblastic cells.
- Submitted by
- Novus Biologicals (provider)
- Main image

- Experimental details
- Immunohistochemistry-Paraffin: CD2AP Antibody [NBP1-90626] - Staining of human kidney, placenta, skeletal muscle and small intestine using Anti-CD2AP antibody NBP1-90626 (A) shows similar protein distribution across tissues to independent antibody NBP1-90625 (B).
- Submitted by
- Novus Biologicals (provider)
- Main image

- Experimental details
- Immunohistochemistry-Paraffin: CD2AP Antibody [NBP1-90626] - Staining of human placenta shows strong cytoplasmic positivity in endothelial cells.