Antibody data
- Antibody Data
- Antigen structure
- References [0]
- Comments [0]
- Validations
- Immunohistochemistry [4]
Submit
Validation data
Reference
Comment
Report error
- Product number
- PA5-54919 - Provider product page

- Provider
- Invitrogen Antibodies
- Product name
- FAM154A Polyclonal Antibody
- Antibody type
- Polyclonal
- Antigen
- Recombinant protein fragment
- Description
- Immunogen sequence: PHLPINTKSC KPHWSGPRGN VPVESQTTYT ISFTPKEMGR CLASYPEPPG YTFEEVDALG HRIYKPVSQA GSQQSSHLSV DDSENPNQRE LEVLA Highest antigen sequence identity to the following orthologs: Mouse - 60%, Rat - 60%.
- Reactivity
- Human
- Host
- Rabbit
- Isotype
- IgG
- Vial size
- 100 μL
- Concentration
- 0.05 mg/mL
- Storage
- Store at 4°C short term. For long term storage, store at -20°C, avoiding freeze/thaw cycles.
No comments: Submit comment
Supportive validation
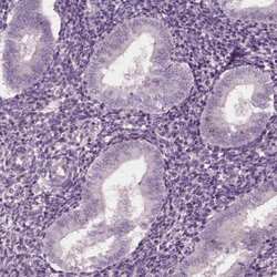
- Submitted by
- Invitrogen Antibodies (provider)
- Main image

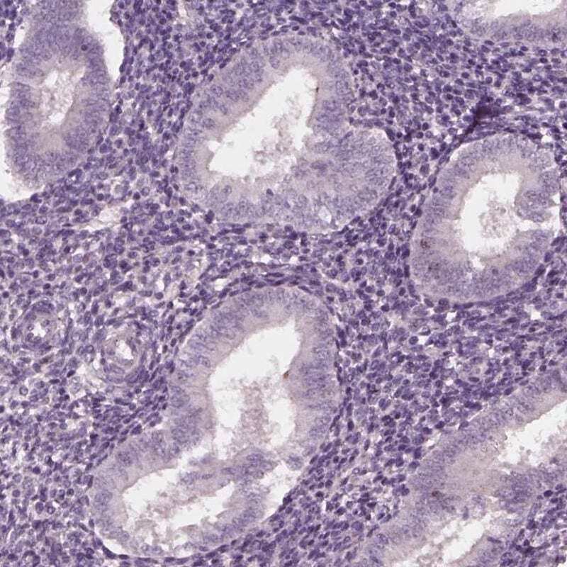
- Experimental details
- Immunohistochemical staining of FAM154A in human endometrium using FAM154A Polyclonal Antibody (Product # PA5-54919) shows low expression as expected.
- Submitted by
- Invitrogen Antibodies (provider)
- Main image

- Experimental details
- Immunohistochemical analysis of FAM154A in human liver using FAM154A Polyclonal Antibody (Product # PA5-54919) shows no positivity in hepatocytes as expected.
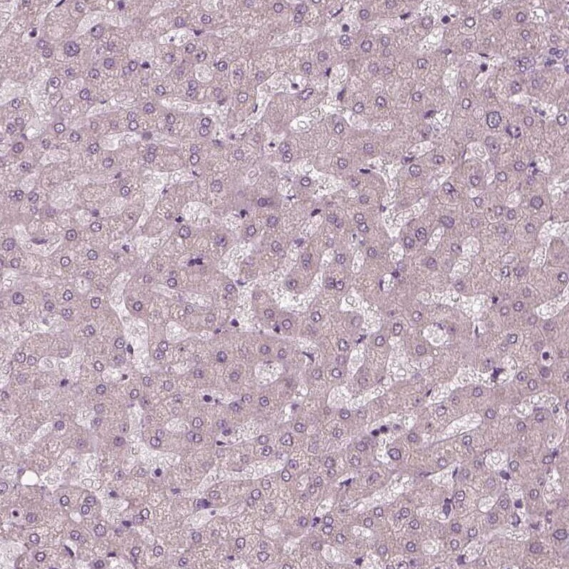
- Submitted by
- Invitrogen Antibodies (provider)
- Main image

- Experimental details
- Immunohistochemical analysis of FAM154A in human skeletal muscle using FAM154A Polyclonal Antibody (Product # PA5-54919) shows no positivity in myocytes as expected.
- Submitted by
- Invitrogen Antibodies (provider)
- Main image

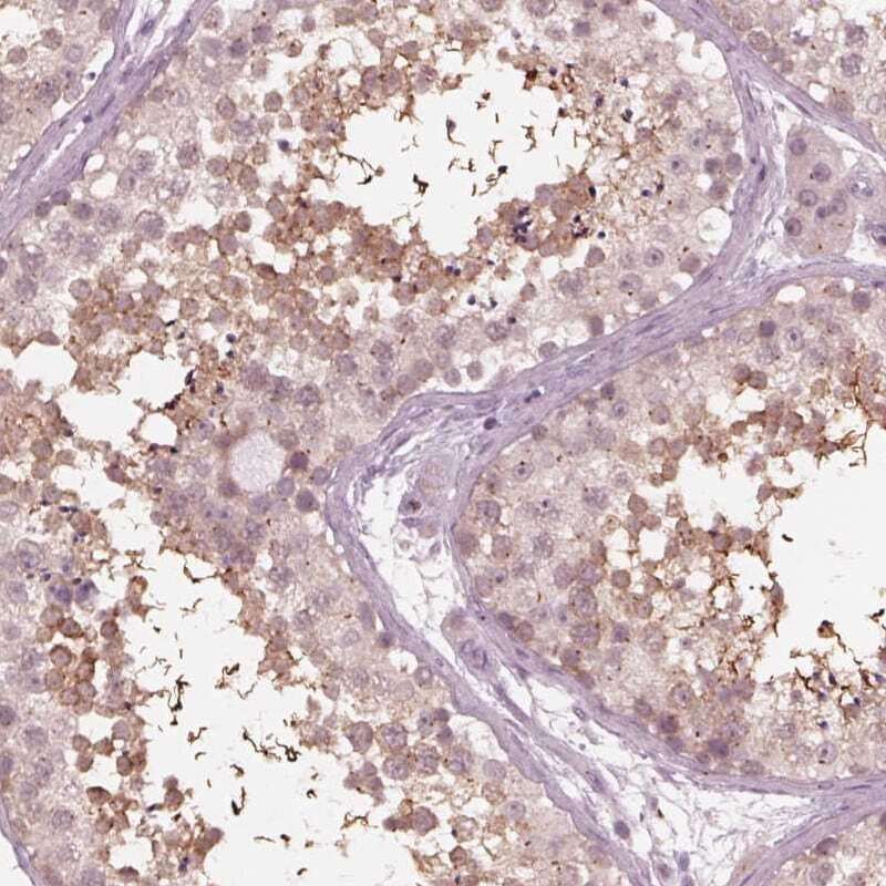
- Experimental details
- Immunohistochemical staining of FAM154A in human testis using FAM154A Polyclonal Antibody (Product # PA5-54919) shows high expression.