Antibody data
- Antibody Data
- Antigen structure
- References [1]
- Comments [0]
- Validations
- Western blot [1]
- Immunohistochemistry [3]
Submit
Validation data
Reference
Comment
Report error
- Product number
- NBP1-86710 - Provider product page

- Provider
- Novus Biologicals
- Proper citation
- Novus Cat#NBP1-86710, RRID:AB_11008866
- Product name
- Rabbit Polyclonal FAM154A Antibody
- Antibody type
- Polyclonal
- Description
- Immunogen affinity purified. Specificity of human FAM154A antibody verified on a Protein Array containing target protein plus 383 other non-specific proteins.
- Reactivity
- Human
- Host
- Rabbit
- Isotype
- IgG
- Vial size
- 0.1 ml
- Storage
- Store at 4C short term. Aliquot and store at -20C long term. Avoid freeze-thaw cycles.
Submitted references Human FAM154A (SAXO1) is a microtubule-stabilizing protein specific to cilia and related structures.
Dacheux D, Roger B, Bosc C, Landrein N, Roche E, Chansel L, Trian T, Andrieux A, Papaxanthos-Roche A, Marthan R, Robinson DR, Bonhivers M
Journal of cell science 2015 Apr 1;128(7):1294-307
Journal of cell science 2015 Apr 1;128(7):1294-307
No comments: Submit comment
Supportive validation
- Submitted by
- Novus Biologicals (provider)
- Main image

- Experimental details
- Western Blot: FAM154A Antibody [NBP1-86710] - Lane 1: Marker [kDa] 250, 130, 95, 72, 55, 36, 28, 17, 10. Lane 2: Negative control (vector only transfected HEK293T lysate). Lane 3: Over-expression lysate (Co-expressed with a C-terminal myc-DDK tag (3.1 kDa) in mammalian HEK293T cells).
Supportive validation
- Submitted by
- Novus Biologicals (provider)
- Main image

- Experimental details
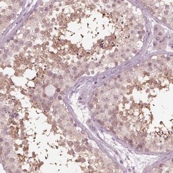
- Immunohistochemistry-Paraffin: FAM154A Antibody [NBP1-86710] - Staining of human testis shows high expression.
- Submitted by
- Novus Biologicals (provider)
- Main image

- Experimental details
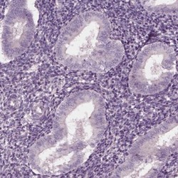
- Immunohistochemistry-Paraffin: FAM154A Antibody [NBP1-86710] - Staining of human endometrium shows low expression as expected.
- Submitted by
- Novus Biologicals (provider)
- Main image

- Experimental details
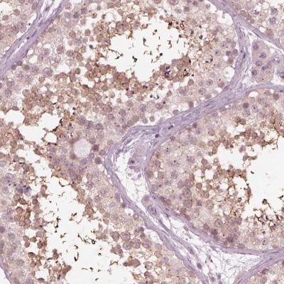
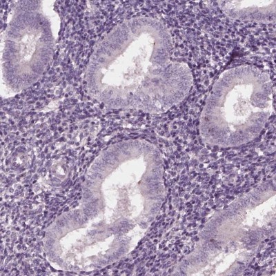
- Immunohistochemistry-Paraffin: FAM154A Antibody [NBP1-86710] - Staining in human testis and endometrium tissues using anti-SAXO1 antibody. Corresponding SAXO1 RNA-seq data are presented for the same tissues.