Antibody data
- Antibody Data
- Antigen structure
- References [1]
- Comments [0]
- Validations
- Immunohistochemistry [1]
Submit
Validation data
Reference
Comment
Report error
- Product number
- NBP1-81295 - Provider product page

- Provider
- Novus Biologicals
- Proper citation
- Novus Cat#NBP1-81295, RRID:AB_11007585
- Product name
- Rabbit Polyclonal LIAT1 Antibody
- Antibody type
- Polyclonal
- Description
- Immunogen affinity purified. Specificity of human C17orf97 antibody verified on a Protein Array containing target protein plus 383 other non-specific proteins.
- Reactivity
- Human, Mouse
- Host
- Rabbit
- Isotype
- IgG
- Vial size
- 0.1 ml
- Storage
- Store at 4C short term. Aliquot and store at -20C long term. Avoid freeze-thaw cycles.
Submitted references Liat1, an arginyltransferase-binding protein whose evolution among primates involved changes in the numbers of its 10-residue repeats.
Brower CS, Rosen CE, Jones RH, Wadas BC, Piatkov KI, Varshavsky A
Proceedings of the National Academy of Sciences of the United States of America 2014 Nov 18;111(46):E4936-45
Proceedings of the National Academy of Sciences of the United States of America 2014 Nov 18;111(46):E4936-45
No comments: Submit comment
Supportive validation
- Submitted by
- Novus Biologicals (provider)
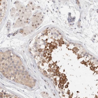
- Main image

- Experimental details
- Immunohistochemistry: LIAT1 Antibody [NBP1-81295] - Staining of human testis shows strong cytoplasmic positivity in subsets of seminiferus duct cells.