ABIN1108842
antibody from antibodies-online
Targeting: RBPJ
CBF1, IGKJRB, IGKJRB1, KBF2, RBP-J, RBPJK, RBPSUH, SUH
Antibody data
- Antibody Data
- Antigen structure
- References [1]
- Comments [0]
- Validations
- Western blot [1]
- Immunoprecipitation [1]
- Immunohistochemistry [2]
Submit
Validation data
Reference
Comment
Report error
- Product number
- ABIN1108842 - Provider product page

- Provider
- antibodies-online
- Product name
- anti-Recombination Signal Binding Protein For Immunoglobulin kappa J Region (RBPJ) (C-Term) antibody
- Antibody type
- Polyclonal
- Antigen
- The immunogen for anti-RBPSUH antibody: synthetic peptide directed towards the C terminal of human RBPSUH
- Description
- Purified on peptide immunoaffinity column
- Reactivity
- Human, Mouse, Bovine, Canine, Xenopus
- Host
- Rabbit
- Antigen sequence
RPHCSAAGAILRANSSQVPPNESNTNSEGSYTNAS
TNSTSVTSSTATVVS- Epitope
- C-Term
- Vial size
- 50 μg
- Storage
- Store the lyophised antibody at -20°C for up to one year. Store reconstitued antibody undiluted for one month or in aliquots at -20°C long term.
- Handling
- Avoid repeated freezing and thawing.
Submitted references Notch4-induced inhibition of endothelial sprouting requires the ankyrin repeats and involves signaling through RBP-Jkappa.
MacKenzie F, Duriez P, Larrivée B, Chang L, Pollet I, Wong F, Yip C, Karsan A
Blood 2004 Sep 15;104(6):1760-8
Blood 2004 Sep 15;104(6):1760-8
No comments: Submit comment
Supportive validation
- Submitted by
- antibodies-online (provider)
- Main image

- Experimental details
- Human HepG2; WB Suggested Anti-RBPSUH Antibody Titration: 0.2-1 ug/ml. ELISA Titer: 1:312500. Positive Control: HepG2 cell lysate; RBPSUH antibody - C-terminal region (AP42021PU-N) in Human HepG2 cells using Western Blot
Supportive validation
- Submitted by
- antibodies-online (provider)
- Main image

- Experimental details
- Human K562; K562; RBPSUH antibody - C-terminal region (AP42021PU-N) in Human K562 cells using Immunoprecipitation
Supportive validation
- Submitted by
- antibodies-online (provider)
- Main image

- Experimental details
- Human Stomach; RBPSUH antibody - C-terminal region (AP42021PU-N) in Human Stomach cells using Immunohistochemistry
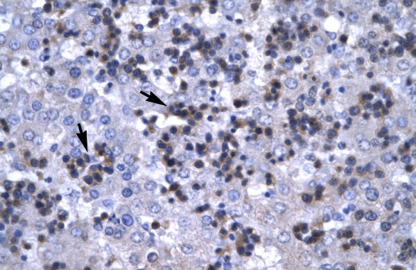
- Submitted by
- antibodies-online (provider)
- Main image

- Experimental details
- Human Liver; RBPSUH antibody - C-terminal region (AP42021PU-N) in Human Liver cells using Immunohistochemistry