LS-C501109
antibody from LSBio
Targeting: NIPBL
DKFZp434L1319, FLJ11203, FLJ12597, FLJ13354, FLJ13648, IDN3, Scc2
Antibody data
- Antibody Data
- Antigen structure
- References [0]
- Comments [0]
- Validations
- Western blot [1]
- Immunohistochemistry [1]
Submit
Validation data
Reference
Comment
Report error
- Product number
- LS-C501109 - Provider product page

- Provider
- LSBio
- Product name
- IDN3 / NIPBL Antibody LS-C501109
- Antibody type
- Polyclonal
- Description
- Protein G purified
- Reactivity
- Human
- Host
- Rabbit
- Isotype
- IgG
- Storage
- Short term: -20°C; Long term: -80°C; Avoid freeze-thaw cycles.
No comments: Submit comment
Enhanced validation
- Submitted by
- LSBio (provider)
- Enhanced method
- Genetic validation
- Main image

- Experimental details
- Western Blot Positive WB detected in Recombinant protein All lanes: NIPBL antibody at 4µg/ml Secondary Goat polyclonal to rabbit IgG at 1/50000 dilution predicted band size: 53 kDa observed band size: 53 kDa
Supportive validation
- Submitted by
- LSBio (provider)
- Enhanced method
- Genetic validation
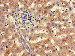
- Main image

- Experimental details
- Immunohistochemistry of paraffin-embedded human liver tissue using NIPBL Antibody at dilution of 1:100