Antibody data
- Antibody Data
- Antigen structure
- References [0]
- Comments [0]
- Validations
- Western blot [2]
- Immunocytochemistry [2]
- Immunohistochemistry [2]
Submit
Validation data
Reference
Comment
Report error
- Product number
- PA5-54825 - Provider product page

- Provider
- Invitrogen Antibodies
- Product name
- NXN Polyclonal Antibody
- Antibody type
- Polyclonal
- Antigen
- Recombinant protein fragment
- Description
- Immunogen sequence: PIAEKIIAKY KAKEEEAPLL FFVAGEDDMT DSLRDYTNLP EAAPLLTILD MSARAKYVMD VEEITPAIVE AFVNDFLAEK LKPEPI Highest antigen sequence identity to the following orthologs: Mouse - 99%, Rat - 99%.
- Reactivity
- Human, Mouse, Rat
- Host
- Rabbit
- Isotype
- IgG
- Vial size
- 100 μL
- Concentration
- 0.5 mg/mL
- Storage
- Store at 4°C short term. For long term storage, store at -20°C, avoiding freeze/thaw cycles.
No comments: Submit comment
Supportive validation
- Submitted by
- Invitrogen Antibodies (provider)
- Main image

- Experimental details
- Western blot analysis of NXN in human cell lines Caco-2 and SK-MEL-30 using a NXN Polyclonal Antibody (Product # PA5-54825). Corresponding NXN RNA-seq data are presented for the same cell lines. Loading control: Anti-HDAC1.
- Submitted by
- Invitrogen Antibodies (provider)
- Main image

- Experimental details
- Western blot analysis of NXN in mouse cell line NIH-3T3 and rat cell line NBT-II using a NXN Polyclonal Antibody (Product # PA5-54825).
Supportive validation
- Submitted by
- Invitrogen Antibodies (provider)
- Main image

- Experimental details
- Immunofluorescent staining of NXN in human cell line U-2 OS shows positivity in cytoplasm & the Golgi apparatus. Samples were probed using a NXN Polyclonal Antibody (Product # PA5-54825).
- Submitted by
- Invitrogen Antibodies (provider)
- Main image

- Experimental details
- Immunofluorecent analysis of NXN in human cell line U-2 OS using NXN Polyclonal Antibody (Product # PA5-54825). Staining shows localization to cytosol and the Golgi apparatus.
Supportive validation
- Submitted by
- Invitrogen Antibodies (provider)
- Main image

- Experimental details
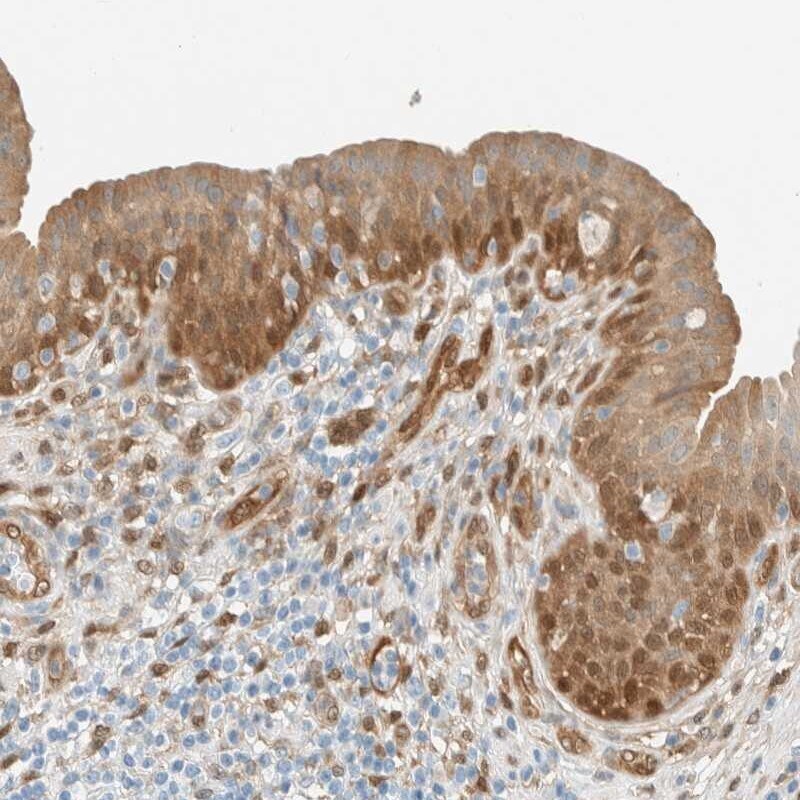
- Immunohistochemical staining of NXN in human urinary bladder using NXN Polyclonal Antibody (Product # PA5-54825) shows moderate cytoplasmic positivity in urothelial cells.
- Submitted by
- Invitrogen Antibodies (provider)
- Main image

- Experimental details
- Immunohistochemical staining of NXN in human urinary bladder using NXN Polyclonal Antibody (Product # PA5-54825) shows moderate cytoplasmic positivity in urothelial cells.