Antibody data
- Antibody Data
- Antigen structure
- References [0]
- Comments [0]
- Validations
- Western blot [1]
- Immunohistochemistry [6]
Submit
Validation data
Reference
Comment
Report error
- Product number
- LS-C391349 - Provider product page

- Provider
- LSBio
- Product name
- MVP / VAULT1 Antibody (clone 1032) LS-C391349
- Antibody type
- Monoclonal
- Description
- Protein G purified
- Reactivity
- Human
- Host
- Mouse
- Isotype
- IgG
- Antibody clone number
- 1032
- Storage
- Store at 2°C to 8°C.
No comments: Submit comment
Enhanced validation
- Submitted by
- LSBio (provider)
- Enhanced method
- Genetic validation
- Main image

- Experimental details
- Western blot testing of T98G cell lysate with Major Vault Protein antibody (clone 1032). Observed molecular weight: 104~110kDa.
Supportive validation
- Submitted by
- LSBio (provider)
- Enhanced method
- Genetic validation
- Main image

- Experimental details
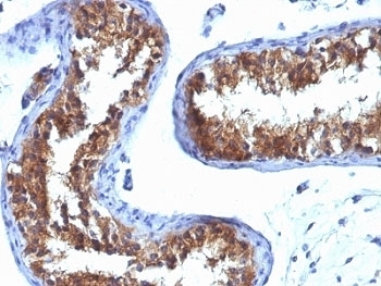
- Formalin-fixed, paraffin-embedded human testicular carcinoma stained with Major Vault Protein antibody (1032). This image was taken for the unmodified form of this product. Other forms have not been tested.
- Submitted by
- LSBio (provider)
- Enhanced method
- Genetic validation
- Main image

- Experimental details
- Formalin-fixed, paraffin-embedded human breast carcinoma stained with Major Vault Protein antibody (1032). This image was taken for the unmodified form of this product. Other forms have not been tested.
- Submitted by
- LSBio (provider)
- Enhanced method
- Genetic validation
- Main image

- Experimental details
- Formalin-fixed, paraffin-embedded human testicular carcinoma stained with Major Vault Protein antibody (1032). This image was taken for the unmodified form of this product. Other forms have not been tested.
- Submitted by
- LSBio (provider)
- Enhanced method
- Genetic validation
- Main image

- Experimental details
- Formalin-fixed, paraffin-embedded human breast carcinoma stained with Major Vault Protein antibody (1032). This image was taken for the unmodified form of this product. Other forms have not been tested.
- Submitted by
- LSBio (provider)
- Enhanced method
- Genetic validation
- Main image

- Experimental details
- Formalin-fixed, paraffin-embedded human testicular carcinoma stained with Major Vault Protein antibody (1032). This image was taken for the unmodified form of this product. Other forms have not been tested.
- Submitted by
- LSBio (provider)
- Enhanced method
- Genetic validation
- Main image

- Experimental details
- Formalin-fixed, paraffin-embedded human breast carcinoma stained with Major Vault Protein antibody (1032). This image was taken for the unmodified form of this product. Other forms have not been tested.