Antibody data
- Antibody Data
- Antigen structure
- References [3]
- Comments [0]
- Validations
- Western blot [2]
- Immunohistochemistry [1]
- Flow cytometry [1]
Submit
Validation data
Reference
Comment
Report error
- Product number
- PAB4800 - Provider product page

- Provider
- Abnova Corporation
- Proper citation
- Abnova Corporation Cat#PAB4800, RRID:AB_1576873
- Product name
- MVP polyclonal antibody
- Antibody type
- Polyclonal
- Description
- Rabbit polyclonal antibody raised against synthetic peptide of MVP.
- Storage
- Store at 4°C. For long term storage store at -20°C.Aliquot to avoid repeated freezing and thawing.
Submitted references Overexpression of the human major vault protein in gangliogliomas.
RNA expression of breast cancer resistance protein, lung resistance-related protein, multidrug resistance-associated proteins 1 and 2, and multidrug resistance gene 1 in breast cancer: correlation with chemotherapeutic response.
Expression of multidrug resistance-associated proteins in rhabdomyosarcomas before and after chemotherapy: the relationship between lung resistance-related protein (LRP) and differentiation.
Aronica E, Gorter JA, van Vliet EA, Spliet WG, van Veelen CW, van Rijen PC, Leenstra S, Ramkema MD, Scheffer GL, Scheper RJ, Sisodiya SM, Troost D
Epilepsia 2003 Sep;44(9):1166-75
Epilepsia 2003 Sep;44(9):1166-75
RNA expression of breast cancer resistance protein, lung resistance-related protein, multidrug resistance-associated proteins 1 and 2, and multidrug resistance gene 1 in breast cancer: correlation with chemotherapeutic response.
Burger H, Foekens JA, Look MP, Meijer-van Gelder ME, Klijn JG, Wiemer EA, Stoter G, Nooter K
Clinical cancer research : an official journal of the American Association for Cancer Research 2003 Feb;9(2):827-36
Clinical cancer research : an official journal of the American Association for Cancer Research 2003 Feb;9(2):827-36
Expression of multidrug resistance-associated proteins in rhabdomyosarcomas before and after chemotherapy: the relationship between lung resistance-related protein (LRP) and differentiation.
Klunder JW, Komdeur R, Van Der Graaf WT, De Bont EJ, Hoekstra HJ, Van Den Berg E, Molenaar WM
Human pathology 2003 Feb;34(2):150-5
Human pathology 2003 Feb;34(2):150-5
No comments: Submit comment
Supportive validation
- Submitted by
- Abnova Corporation (provider)
- Main image

- Experimental details
- The MVP polyclonal antibody (Cat # PAB4800) is used in Western blot to detect MVP in A-375 cell lysate.
- Submitted by
- Abnova Corporation (provider)
- Main image

- Experimental details
- Western blot analysis of MVP (arrow) using rabbit MVP polyclonal antibody (Cat # PAB4800). 293 cell lysate (2 ug/lane) either nontransfected (Lane 1) or transiently transfected with the MVP gene (Lane 2) (Origene Technologies).
Supportive validation
- Submitted by
- Abnova Corporation (provider)
- Main image

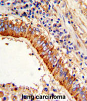
- Experimental details
- Formalin-fixed and paraffin-embedded human lung carcinomareacted with MVP polyclonal antibody (Cat # PAB4800), which was peroxidase-conjugated to the secondary antibody, followed by AEC staining.This data demonstrates the use of this antibody for immunohistochemistry; clinical relevance has not been evaluated.
- Validation comment
- Immunohistochemistry (Formalin/PFA-fixed paraffin-embedded sections)
Supportive validation
- Submitted by
- Abnova Corporation (provider)
- Main image

- Experimental details
- Flow cytometric analysis of NCI-H292 cells using MVP polyclonal antibody (Cat # PAB4800)(bottom histogram) compared to a negative control cell (top histogram).FITC-conjugated goat-anti-rabbit secondary antibodies were used for the analysis.
- Validation comment
- Flow Cytometry