Antibody data
- Antibody Data
 - Antigen structure
 - References [0]
 - Comments [0]
 - Validations
 - Western blot [1]
 - Immunohistochemistry [2]
 
Submit
Validation data
Reference
Comment
Report error
- Product number
 - STJ11100926 - Provider product page

 - Provider
 - St John's Laboratory
 - Product name
 - Anti-GK antibody (251-530) (STJ11100926)
 - Antibody type
 - Polyclonal
 - Description
 - Rabbit polyclonal antibody anti-GK (251-530) is suitable for use in Western Blot.
 - Reactivity
 - Human, Mouse, Rat
 - Host
 - Rabbit
 - Conjugate
 - Unconjugated
 - Antigen sequence
 NA- Epitope
 - NA
 - Isotype
 - IgG
 - Antibody clone number
 - NA
 - Vial size
 - NA
 - Concentration
 - NA
 - Storage
 - Store in a freezer at-20°C and avoid freeze-thaw cycles.
 - Handling
 - NA
 
				No comments: Submit comment	
	
			
							
					Supportive validation
					
									
				
		
				- Submitted by
 - St John's Laboratory (provider)
 - Main image
 
- Experimental details
 - Western blot analysis of extracts of various cell lines, using Glycerol kinase (Glycerol kinase (GK) ) antibody (STJ11100926) at 1:3000 dilution. _Secondary antibody: HRP Goat Anti-rabbit IgG (H+L) at 1:10000 dilution. _Lysates/proteins: 25ug per lane. _Blocking buffer: 3% nonfat dry milk in TBST. _Detection: ECL Enhanced Kit. _Exposure time: 90s.
 - Sample type
 - NA
 - Validation comment
 - NA
 - Primary Ab dilution
 - NA
 - Other comments
 - NA
 - Secondary Ab
 - NA
 - Secondary Ab dilution
 - NA
 - Protocol
 - NA
 
							
					Supportive validation
					
									
				
Supportive validation
		
		- Submitted by
 - St John's Laboratory (provider)
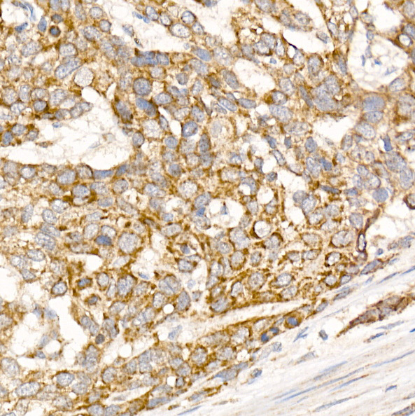
 - Main image
 
- Experimental details
 - Immunohistochemistry of paraffin-embedded human esophageal cancer using Glycerol kinase (GK) rabbit polyclonal antibody (STJ11100926) at dilution of 1:150 (40x lens). Perform high pressure antigen retrieval with 10 mM citrate buffer pH 6. 0 before commencing with immunohistochemistry staining protocol.
 - Sample type
 - NA
 - Validation comment
 - NA
 - Primary Ab dilution
 - NA
 - Other comments
 - NA
 - Secondary Ab
 - NA
 - Secondary Ab dilution
 - NA
 - Protocol
 - NA
 
Supportive validation
- Submitted by
 - St John's Laboratory (provider)
 - Main image
 
- Experimental details
 - Immunohistochemistry of paraffin-embedded human liver using Glycerol kinase (GK) rabbit polyclonal antibody (STJ11100926) at dilution of 1:150 (40x lens). Perform high pressure antigen retrieval with 10 mM citrate buffer pH 6. 0 before commencing with immunohistochemistry staining protocol.
 - Sample type
 - NA
 - Validation comment
 - NA
 - Primary Ab dilution
 - NA
 - Other comments
 - NA
 - Secondary Ab
 - NA
 - Secondary Ab dilution
 - NA
 - Protocol
 - NA