Antibody data
- Antibody Data
- Antigen structure
- References [0]
- Comments [0]
- Validations
- Immunocytochemistry [3]
- Immunohistochemistry [3]
Submit
Validation data
Reference
Comment
Report error
- Product number
- MA5-38048 - Provider product page

- Provider
- Invitrogen Antibodies
- Product name
- NUP153 Recombinant Rabbit Monoclonal Antibody (3I5V3)
- Antibody type
- Monoclonal
- Antigen
- Synthetic peptide
- Description
- Positive Samples: HeLa, K-562, Mouse testis Immunogen sequence: MASGAGGVGG GGGGKIRTRR CHQGPIKPYQ QGRQQHQGIL SRVTESVKNI VPGWLQRYFN KNEDVCSCST DTSEVPRWPE NKEDHLVYAD EESSNITDGR
- Reactivity
- Human, Mouse, Rat
- Host
- Rabbit
- Isotype
- IgG
- Antibody clone number
- 3I5V3
- Vial size
- 100 μL
- Concentration
- 0.5 mg/mL
- Storage
- -20°C, Avoid Freeze/Thaw Cycles
No comments: Submit comment
Supportive validation
- Submitted by
- Invitrogen Antibodies (provider)
- Main image

- Experimental details
- Immunocytochemistry/Immunofluorescence analysis of NUP153 in U-2 OS cells using NUP153 Recombinant Monoclonal Antibody (Product # MA5-38048) at a dilution of 1:100. Blue: DAPI for nuclear staining.
- Submitted by
- Invitrogen Antibodies (provider)
- Main image

- Experimental details
- Immunocytochemistry/Immunofluorescence analysis of NUP153 in U-2 OS cells using NUP153 Recombinant Monoclonal Antibody (Product # MA5-38048) at a dilution of 1:100. Blue: DAPI for nuclear staining.
- Submitted by
- Invitrogen Antibodies (provider)
- Main image

- Experimental details
- Immunofluorescence analysis of NUP153 in U-2 OS cells. Samples were incubated with NUP153 Monoclonal antibody (Product # MA5-38048) using a dilution of 1:100 (40x lens). Blue: DAPI for nuclear staining.
Supportive validation
- Submitted by
- Invitrogen Antibodies (provider)
- Main image

- Experimental details
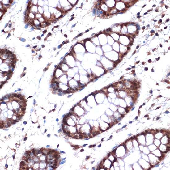
- Immunohistochemistry analysis of NUP153 in paraffin-embedded human colon. Samples were incubated with NUP153 Monoclonal antibody (Product # MA5-38048) using a dilution of 1:100 (40x lens). Perform microwave antigen retrieval with 10 mM Tris/EDTA buffer pH 9.0 before commencing with IHC staining protocol.
- Submitted by
- Invitrogen Antibodies (provider)
- Main image

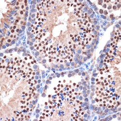
- Experimental details
- Immunohistochemistry analysis of NUP153 in paraffin-embedded mouse testis. Samples were incubated with NUP153 Monoclonal antibody (Product # MA5-38048) using a dilution of 1:100 (40x lens). Perform microwave antigen retrieval with 10 mM Tris/EDTA buffer pH 9.0 before commencing with IHC staining protocol.
- Submitted by
- Invitrogen Antibodies (provider)
- Main image

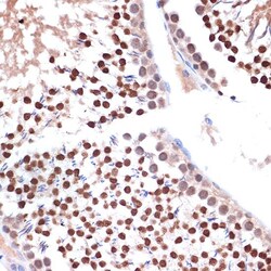
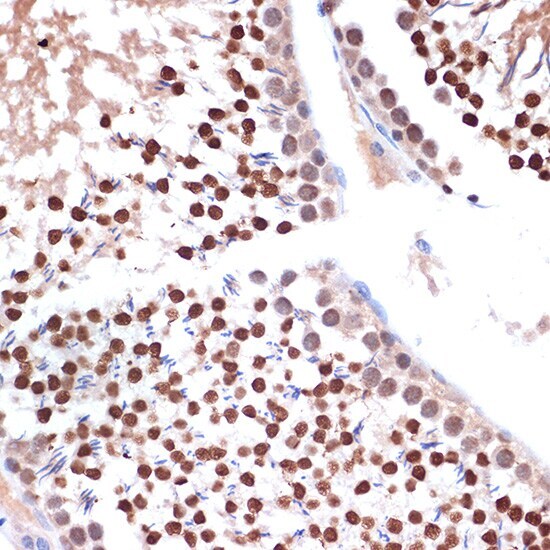
- Experimental details
- Immunohistochemistry analysis of NUP153 in paraffin-embedded rat testis. Samples were incubated with NUP153 Monoclonal antibody (Product # MA5-38048) using a dilution of 1:100 (40x lens). Perform microwave antigen retrieval with 10 mM Tris/EDTA buffer pH 9.0 before commencing with IHC staining protocol.