Antibody data
- Antibody Data
- Antigen structure
- References [0]
- Comments [0]
- Validations
- Immunohistochemistry [1]
Submit
Validation data
Reference
Comment
Report error
- Product number
- ABIN146084 - Provider product page

- Provider
- antibodies-online
- Product name
- anti-Adaptor-Related Protein Complex 1, beta 1 Subunit (AP1B1) antibody
- Antibody type
- Monoclonal
- Antigen
- Purified human brain clathrin heavy chain
- Description
- IgG fraction
- Reactivity
- Bovine
- Host
- Mouse
- Isotype
- IgG
- Vial size
- 0.1 mL
- Concentration
- 6 mg/ml
- Storage
- 4°C
No comments: Submit comment
Supportive validation
- Submitted by
- antibodies-online (provider)
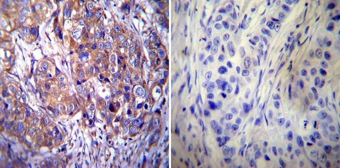
- Main image

- Experimental details
- Image(s): Immunohistochemistry