Antibody data
- Antibody Data
- Antigen structure
- References [0]
- Comments [0]
- Validations
- Western blot [1]
- Immunohistochemistry [1]
Submit
Validation data
Reference
Comment
Report error
- Product number
- GTX118675 - Provider product page

- Provider
- GeneTex
- Proper citation
- GeneTex Cat#GTX118675, RRID:AB_11165087
- Product name
- KIAA0020 antibody [C1C3]
- Antibody type
- Polyclonal
- Reactivity
- Human
- Host
- Rabbit
No comments: Submit comment
Supportive validation
- Submitted by
- GeneTex (provider)
- Main image

- Experimental details
- Sample (30 ug of whole cell lysate) A: Jurkat B: Raji 7.5% SDS PAGE GTX118675 diluted at 1:1000
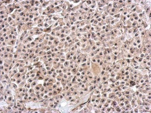
Supportive validation
- Submitted by
- GeneTex (provider)
- Main image

- Experimental details
- Immunohistochemical analysis of paraffin-embedded HBL435 xenograft, using KIAA0020(GTX118675) antibody at 1:500 dilution.