Antibody data
- Antibody Data
- Antigen structure
- References [6]
- Comments [0]
- Validations
- Western blot [1]
- Immunocytochemistry [1]
- Immunohistochemistry [1]
Submit
Validation data
Reference
Comment
Report error
- Product number
- 11385-1-AP - Provider product page

- Provider
- Proteintech Group
- Proper citation
- Proteintech Cat#11385-1-AP, RRID:AB_2277810
- Product name
- ECH1 antibody
- Antibody type
- Polyclonal
- Description
- ECH1 antibody (Cat. #11385-1-AP) is a rabbit polyclonal antibody that shows reactivity with human, mouse, rat and has been validated for the following applications: IF, IHC, WB, ELISA.
- Reactivity
- Human, Mouse, Rat
- Host
- Rabbit
- Conjugate
- Unconjugated
- Isotype
- IgG
- Vial size
- 20ul, 150ul
Submitted references Targeting Erbin-mitochondria axis in platelets/megakaryocytes promotes B cell-mediated antitumor immunity.
C-IGF1R encoded by cIGF1R acts as a molecular switch to restrict mitophagy of drug-tolerant persister tumour cells in non-small cell lung cancer.
Single-Cell Transcriptomics Reveals Splicing Features of Adult Neural Stem Cells in the Subventricular Zone.
YY1 control of mitochondrial-related genes does not account for regulation of immunoglobulin class switch recombination in mice.
Ketohexokinase C blockade ameliorates fructose-induced metabolic dysfunction in fructose-sensitive mice.
High-fat and high-sucrose (western) diet induces steatohepatitis that is dependent on fructokinase.
Zhang Z, Xu X, Zhang D, Zhao S, Wang C, Zhang G, Chen W, Liu J, Gong H, Rixiati Y, Li S, Shen T, Li J
Cell metabolism 2024 Mar 5;36(3):541-556.e9
Cell metabolism 2024 Mar 5;36(3):541-556.e9
C-IGF1R encoded by cIGF1R acts as a molecular switch to restrict mitophagy of drug-tolerant persister tumour cells in non-small cell lung cancer.
Wang H, Liang Y, Zhang T, Yu X, Song X, Chen Y, Mao Q, Xia W, Chen B, Xu L, Dong G, Jiang F
Cell death and differentiation 2023 Nov;30(11):2365-2381
Cell death and differentiation 2023 Nov;30(11):2365-2381
Single-Cell Transcriptomics Reveals Splicing Features of Adult Neural Stem Cells in the Subventricular Zone.
Wang Y, Li C, Gong X, Chen X, Liu C, Zhang H, Li S, Luo Y
Frontiers in cell and developmental biology 2022;10:822934
Frontiers in cell and developmental biology 2022;10:822934
YY1 control of mitochondrial-related genes does not account for regulation of immunoglobulin class switch recombination in mice.
Nandi S, Liang G, Sindhava V, Angireddy R, Basu A, Banerjee S, Hodawadekar S, Zhang Y, Avadhani NG, Sen R, Atchison ML
European journal of immunology 2020 Jun;50(6):822-838
European journal of immunology 2020 Jun;50(6):822-838
Ketohexokinase C blockade ameliorates fructose-induced metabolic dysfunction in fructose-sensitive mice.
Lanaspa MA, Andres-Hernando A, Orlicky DJ, Cicerchi C, Jang C, Li N, Milagres T, Kuwabara M, Wempe MF, Rabinowitz JD, Johnson RJ, Tolan DR
The Journal of clinical investigation 2018 Jun 1;128(6):2226-2238
The Journal of clinical investigation 2018 Jun 1;128(6):2226-2238
High-fat and high-sucrose (western) diet induces steatohepatitis that is dependent on fructokinase.
Ishimoto T, Lanaspa MA, Rivard CJ, Roncal-Jimenez CA, Orlicky DJ, Cicerchi C, McMahan RH, Abdelmalek MF, Rosen HR, Jackman MR, MacLean PS, Diggle CP, Asipu A, Inaba S, Kosugi T, Sato W, Maruyama S, Sánchez-Lozada LG, Sautin YY, Hill JO, Bonthron DT, Johnson RJ
Hepatology (Baltimore, Md.) 2013 Nov;58(5):1632-43
Hepatology (Baltimore, Md.) 2013 Nov;58(5):1632-43
No comments: Submit comment
Supportive validation
- Submitted by
- Proteintech Group (provider)
- Main image

- Experimental details
- mouse liver tissue were subjected to SDS PAGE followed by western blot with 11385-1-AP(ECH1 antibody) at dilution of 1:500
- Sample type
- tissue
Supportive validation
- Submitted by
- Proteintech Group (provider)
- Main image

- Experimental details
- Immunofluorescent analysis of HepG2 cells, using ECH1 antibody 11385-1-AP at 1:25 dilution and Rhodamine-labeled goat anti-rabbit IgG (red).
- Sample type
- cell line
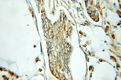
Supportive validation
- Submitted by
- Proteintech Group (provider)
- Main image

- Experimental details
- Immunohistochemical of paraffin-embedded human pancreas cancer using 11385-1-AP(ECH1 antibody) at dilution of 1:100 (under 10x lens)
- Sample type
- tissue