Antibody data
- Antibody Data
- Antigen structure
- References [0]
- Comments [0]
- Validations
- Immunohistochemistry [1]
Submit
Validation data
Reference
Comment
Report error
- Product number
- PAB21372 - Provider product page

- Provider
- Abnova Corporation
- Proper citation
- Abnova Corporation Cat#PAB21372, RRID:AB_10966956
- Product name
- KRBA1 polyclonal antibody
- Antibody type
- Polyclonal
- Description
- Rabbit polyclonal antibody raised against recombinant KRBA1.
- Antigen sequence
INCLKEILVPGPRHPETSPSFLPPLPSLGTSRLTR
ADLGPGSPPWAVKTEAVSGDCPLQGLLHCLKELPE
AQDRHPSPSGVGNRRLQENPGAWKRGSGGPGYLLT
PPPHPDLGAG- Isotype
- IgG
- Storage
- Store at 4°C. For long term storage store at -20°C.Aliquot to avoid repeated freezing and thawing.
No comments: Submit comment
Supportive validation
- Submitted by
- Abnova Corporation (provider)
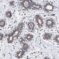
- Main image

- Experimental details
- Immunohistochemical staining of human breast with KRBA1 polyclonal antibody (Cat # PAB21372) shows moderate positivity in glandular cells at 1:200-1:500 dilution.
- Validation comment
- Immunohistochemistry (Formalin/PFA-fixed paraffin-embedded sections)