Antibody data
- Antibody Data
- Antigen structure
- References [0]
- Comments [0]
- Validations
- Western blot [1]
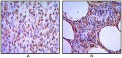
- Immunohistochemistry [2]
Submit
Validation data
Reference
Comment
Report error
- Product number
- ABIN1844448 - Provider product page

- Provider
- antibodies-online
- Product name
- anti-Melanoma Associated Antigen (Mutated) 1 (MUM1) antibody
- Antibody type
- Monoclonal
- Description
- Unpurified Ascites
- Reactivity
- Human
- Host
- Mouse
- Isotype
- IgG
- Vial size
- 100 μL
- Storage
- Aliquot and store at -20°C. Avoid repeated freeze/thaw cycles.
No comments: Submit comment
Supportive validation
- Submitted by
- antibodies-online (provider)
- Main image

- Experimental details
- WB
Supportive validation
- Submitted by
- antibodies-online (provider)
- Main image

- Experimental details
- IHC
- Submitted by
- antibodies-online (provider)
- Main image

- Experimental details
- IHC