Antibody data
- Antibody Data
- Antigen structure
- References [0]
- Comments [0]
- Validations
- Immunohistochemistry [3]
Submit
Validation data
Reference
Comment
Report error
- Product number
- AM20464SU-N - Provider product page

- Provider
- Acris Antibodies GmbH
- Proper citation
- Acris Antibodies GmbH Cat#AM20464SU-N, RRID:AB_10845279
- Product name
- anti MUM1
- Antibody type
- Monoclonal
- Antigen
- Recombinant MUM1 protein
- Reactivity
- Human
- Host
- Mouse
- Isotype
- IgG
- Antibody clone number
- 4G10
- Vial size
- 50 µl
No comments: Submit comment
Supportive validation
- Submitted by
- Acris Antibodies GmbH (provider)
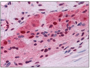
- Main image

- Experimental details
- Human Small Intestine, myenteric plexus: Formalin-Fixed, Paraffin-Embedded (FFPE)
- Submitted by
- Acris Antibodies GmbH (provider)
- Main image

- Experimental details
- Human Placenta: Formalin-Fixed, Paraffin-Embedded (FFPE)
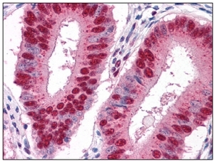
- Submitted by
- Acris Antibodies GmbH (provider)
- Main image

- Experimental details
- Human Uterus: Formalin-Fixed, Paraffin-Embedded (FFPE)