Antibody data
- Antibody Data
- Antigen structure
- References [0]
- Comments [0]
- Validations
- Western blot [4]
- Immunocytochemistry [1]
- Immunohistochemistry [4]
Submit
Validation data
Reference
Comment
Report error
- Product number
- 66349-1-IG - Provider product page

- Provider
- Invitrogen Antibodies
- Product name
- MKP-2 Monoclonal Antibody (1G1C12)
- Antibody type
- Monoclonal
- Antigen
- Other
- Description
- Immunogen sequence: MVTMEELRE MDCSVLKRLM NRDENGGGAG GSGSHGTLGL PSGGKCLLLD CRPFLAHSAG YILGSVNVRC NTIVRRRAKG SVSLEQILPA EEEVRARLRS GLYSAVIVYD ERSPRAESLR EDSTVSLVVQ ALRRNAERTD ICLLKGGYER FSSEYPEFCS KTKALAAIPP PVPPSATEPL DLGCSSCGTP LHDQGGPVEI LPFLYLGSAY HAARRDMLDA LGITALLNVS SDCPNHFEGH YQYKCIPVED NHKADISSWF MEAIEYIDAV KDCRGRVLVH CQAGISRSAT ICLAYLMMKK RVRLEEAFEF VKQRRSIISP NFSFMGQLLQ FESQVLATSC AAEAASPSGP LRERGKTPAT PTSQFVFSFP VSVGVHSAPS SLPYLHSPIT TSPSC (1-394 aa encoded by BC014565)
- Reactivity
- Human, Mouse, Rat, Porcine
- Host
- Mouse
- Isotype
- IgG
- Antibody clone number
- 1G1C12
- Vial size
- 150 µL
- Concentration
- 1 mg/mL
- Storage
- -20°C
No comments: Submit comment
Supportive validation
- Submitted by
- Invitrogen Antibodies (provider)
- Main image

- Experimental details
- HepG2 cells were subjected to SDS PAGE followed by western blot with 66349-1-Ig (MKP-2 Antibody) at dilution of 1:2000 incubated at room temperature for 1.5 hours.
- Submitted by
- Invitrogen Antibodies (provider)
- Main image

- Experimental details
- Pig brain tissue were subjected to SDS PAGE followed by western blot with 66349-1-Ig (MKP-2 Antibody) at dilution of 1:1000 incubated at room temperature for 1.5 hours.
- Submitted by
- Invitrogen Antibodies (provider)
- Main image

- Experimental details
- NIH/3T3 cells were subjected to SDS PAGE followed by western blot with 66349-1-Ig (MKP-2 Antibody) at dilution of 1:2000 incubated at room temperature for 1.5 hours.
- Submitted by
- Invitrogen Antibodies (provider)
- Main image

- Experimental details
- Rat brain tissue were subjected to SDS PAGE followed by western blot with 66349-1-IG ( MKP-2 Antibody) at dilution of 1:1000 incubated at room temperature for 1.5 hours.
Supportive validation
- Submitted by
- Invitrogen Antibodies (provider)
- Main image

- Experimental details
- Immunofluorescent analysis of ( 4% PFA ) fixed HepG2 cells using 66349-1-IG (MKP-2 antibody) at dilution of 1:100 and Alexa Fluor 488-conjugated AffiniPure Goat Anti-Mouse IGG (H+L).
Supportive validation
- Submitted by
- Invitrogen Antibodies (provider)
- Main image

- Experimental details
- Immunohistochemistry of paraffin-embedded human colon cancer tissue slide using 66349-1-Ig (MKP-2 Antibody) at dilution of 1:200 (under 10x lens). heat mediated antigen retrieved with Tris-EDTA buffer (pH 9).
- Submitted by
- Invitrogen Antibodies (provider)
- Main image

- Experimental details
- Immunohistochemistry of paraffin-embedded human colon cancer tissue slide using 66349-1-Ig (MKP-2 Antibody) at dilution of 1:200 (under 40x lens). heat mediated antigen retrieved with Tris-EDTA buffer (pH 9).
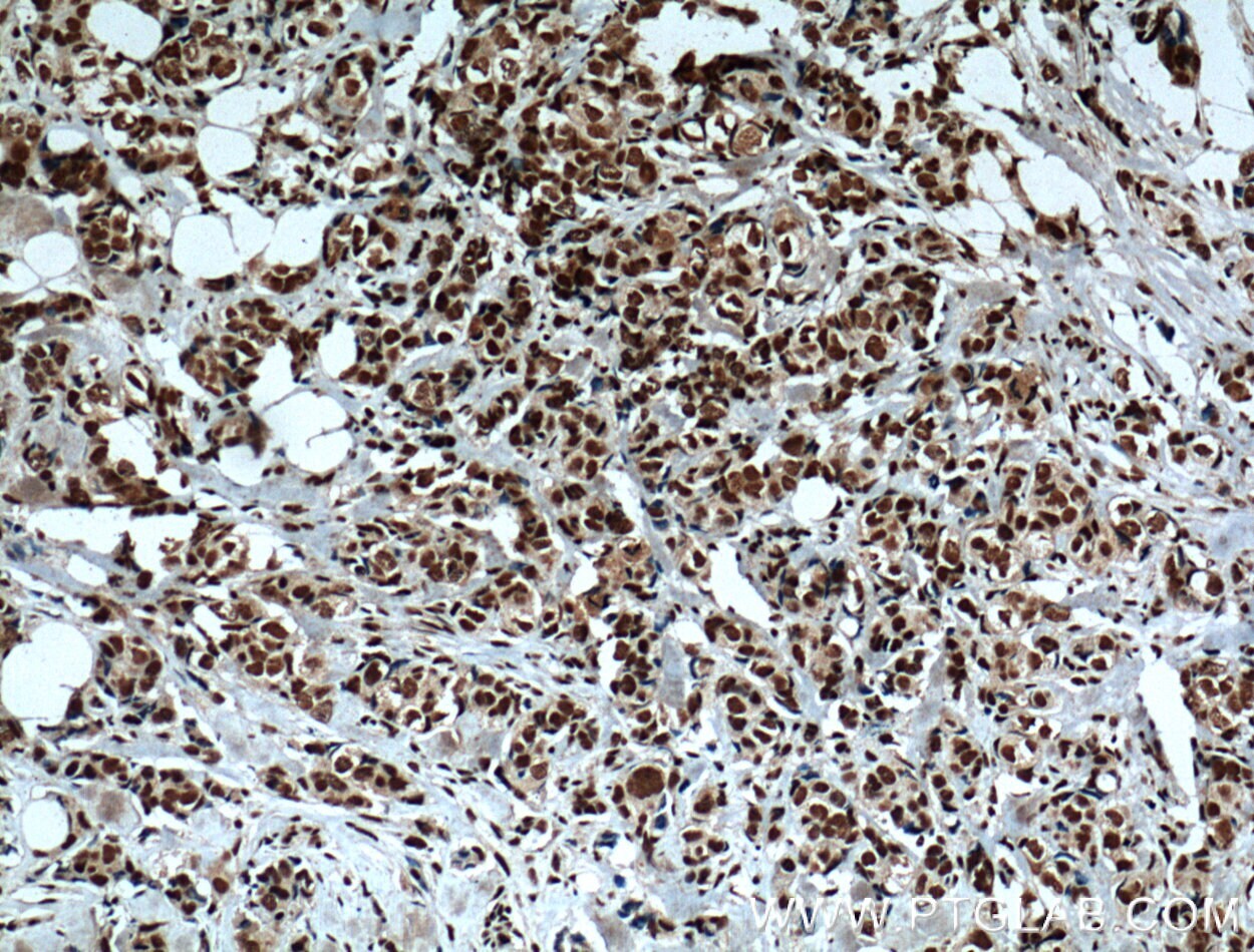
- Submitted by
- Invitrogen Antibodies (provider)
- Main image

- Experimental details
- Immunohistochemistry of paraffin-embedded human breast cancer tissue slide using 66349-1-IG ( MKP-2 Antibody) at dilution of 1:200 (under 10x lens). heat mediated antigen retrieved with Tris-EDTA buffer (pH 9).
- Submitted by
- Invitrogen Antibodies (provider)
- Main image

- Experimental details
- Immunohistochemistry of paraffin-embedded human breast cancer tissue slide using 66349-1-IG ( MKP-2 Antibody) at dilution of 1:200 (under 40x lens). heat mediated antigen retrieved with Tris-EDTA buffer (pH 9).