AP33148PU-N
antibody from Acris Antibodies GmbH
Targeting: ILF3
DRBP76, MPHOSPH4, MPP4, MPP4110, NF110, NF110b, NF90, NF90a, NF90c, NF90ctv, NFAR-1, NFAR-2, NFAR110, NFAR90, TCP110
Antibody data
- Antibody Data
- Antigen structure
- References [0]
- Comments [0]
- Validations
- Immunohistochemistry [1]
Submit
Validation data
Reference
Comment
Report error
- Product number
- AP33148PU-N - Provider product page

- Provider
- Acris Antibodies GmbH
- Product name
- anti ILF3 / DRBF
- Antibody type
- Polyclonal
- Antigen
- Peptide with sequence from the internal region of the protein sequence according to NP_036350.2; NP_060090.2.
- Reactivity
- Human, Mouse, Rat, Bovine, Canine
- Host
- Goat
- Vial size
- 0.1 mg
- Concentration
- 0.5 mg/ml
No comments: Submit comment
Supportive validation
- Submitted by
- Acris Antibodies GmbH (provider)
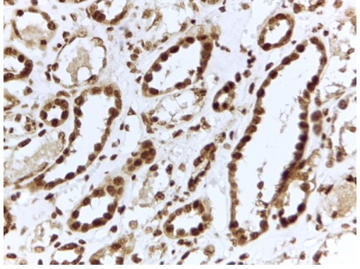
- Main image

- Experimental details
- Paraffin Embedded Human Kidney stained with ILF3 Antibody Cat.-No AP33148PU-N at 2 µg/ml. Steamed antigen retrieval with citrate buffer pH 6, HRP-staining.