Antibody data
- Antibody Data
- Antigen structure
- References [0]
- Comments [0]
- Validations
- Immunohistochemistry [2]
Submit
Validation data
Reference
Comment
Report error
- Product number
- AP07990PU-N - Provider product page

- Provider
- Acris Antibodies GmbH
- Proper citation
- Acris Antibodies GmbH Cat#AP07990PU-N, RRID:AB_1622333
- Product name
- anti XK / XKR1
- Antibody type
- Polyclonal
- Antigen
- Synthetic peptide - KLH conjugated corresponding to Amino acids 409 to 425 of human XK.
- Reactivity
- Human
- Host
- Rabbit
- Vial size
- 50 µg
No comments: Submit comment
Supportive validation
- Submitted by
- Acris Antibodies GmbH (provider)
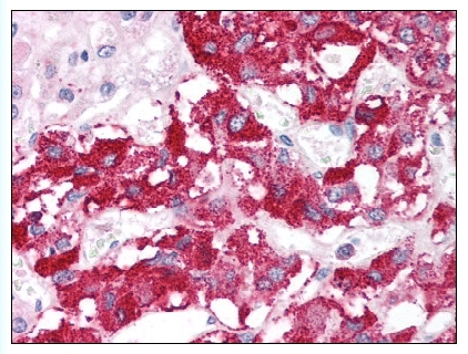
- Main image

- Experimental details
- Figure 1. Staining XK in Adrenal by Immunohistochemistry using Formalin-Fixed Paraffin-Embedded (FFPE) tissue.
- Submitted by
- Acris Antibodies GmbH (provider)
- Main image

- Experimental details
- Figure 2. Staining XK in Heart by Immunohistochemistry using Formalin-Fixed Paraffin-Embedded (FFPE) tissue.