Antibody data
- Antibody Data
- Antigen structure
- References [0]
- Comments [0]
- Validations
- Immunohistochemistry [2]
Submit
Validation data
Reference
Comment
Report error
- Product number
- AP22762PU-N - Provider product page

- Provider
- Acris Antibodies GmbH
- Proper citation
- Acris Antibodies GmbH Cat#AP22762PU-N, RRID:AB_10841470
- Product name
- anti XK / XKR1 (22-38)
- Antibody type
- Polyclonal
- Antigen
- XK antibody was raised against synthetic peptide
- Reactivity
- Human
- Host
- Rabbit
- Vial size
- 50 µg
- Concentration
- 1,0 mg/ml
No comments: Submit comment
Supportive validation
- Submitted by
- Acris Antibodies GmbH (provider)
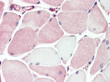
- Main image

- Experimental details
- Human Skeletal Muscle (formalin-fixed, paraffin-embedded) stained with XK antibody AP22762PU-N followed by biotinylated goat anti-rabbit IgG secondary antibody, alkaline phosphatase-streptavidin and chromogen.
- Submitted by
- Acris Antibodies GmbH (provider)
- Main image

- Experimental details
- Human Pancreas (formalin-fixed, paraffin-embedded) stained with XK antibody AP22762PU-N followed by biotinylated goat anti-rabbit IgG secondary antibody, alkaline phosphatase-streptavidin and chromogen.