Antibody data
- Antibody Data
- Antigen structure
- References [5]
- Comments [0]
- Validations
- Immunohistochemistry [4]
Submit
Validation data
Reference
Comment
Report error
- Product number
- NBP1-93504 - Provider product page

- Provider
- Novus Biologicals
- Proper citation
- Novus Cat#NBP1-93504, RRID:AB_11035972
- Product name
- Rabbit Polyclonal C9orf72 Antibody
- Antibody type
- Polyclonal
- Description
- Immunogen affinity purified. Specificity of human C9orf72 antibody verified on a Protein Array containing target protein plus 383 other non-specific proteins.
- Reactivity
- Human, Mouse, Rat
- Host
- Rabbit
- Isotype
- IgG
- Vial size
- 0.1 ml
- Storage
- Store at 4C short term. Aliquot and store at -20C long term. Avoid freeze-thaw cycles.
Submitted references Unexpected similarities between C9ORF72 and sporadic forms of ALS/FTD suggest a common disease mechanism.
Antisense proline-arginine RAN dipeptides linked to C9ORF72-ALS/FTD form toxic nuclear aggregates that initiate in vitro and in vivo neuronal death.
Distinct clinical and pathological characteristics of frontotemporal dementia associated with C9ORF72 mutations.
Pattern of ubiquilin pathology in ALS and FTLD indicates presence of C9ORF72 hexanucleotide expansion.
Dystrophic neurites express C9orf72 in Alzheimer's disease brains.
Conlon EG, Fagegaltier D, Agius P, Davis-Porada J, Gregory J, Hubbard I, Kang K, Kim D, New York Genome Center ALS Consortium., Phatnani H, Kwan J, Sareen D, Broach JR, Simmons Z, Arcila-Londono X, Lee EB, Van Deerlin VM, Shneider NA, Fraenkel E, Ostrow LW, Baas F, Zaitlen N, Berry JD, Malaspina A, Fratta P, Cox GA, Thompson LM, Finkbeiner S, Dardiotis E, Miller TM, Chandran S, Pal S, Hornstein E, MacGowan DJ, Heiman-Patterson T, Hammell MG, Patsopoulos NA, Dubnau J, Nath A, Phatnani H, Shneider NA, Manley JL
eLife 2018 Jul 13;7
eLife 2018 Jul 13;7
Antisense proline-arginine RAN dipeptides linked to C9ORF72-ALS/FTD form toxic nuclear aggregates that initiate in vitro and in vivo neuronal death.
Wen X, Tan W, Westergard T, Krishnamurthy K, Markandaiah SS, Shi Y, Lin S, Shneider NA, Monaghan J, Pandey UB, Pasinelli P, Ichida JK, Trotti D
Neuron 2014 Dec 17;84(6):1213-25
Neuron 2014 Dec 17;84(6):1213-25
Distinct clinical and pathological characteristics of frontotemporal dementia associated with C9ORF72 mutations.
Snowden JS, Rollinson S, Thompson JC, Harris JM, Stopford CL, Richardson AM, Jones M, Gerhard A, Davidson YS, Robinson A, Gibbons L, Hu Q, DuPlessis D, Neary D, Mann DM, Pickering-Brown SM
Brain : a journal of neurology 2012 Mar;135(Pt 3):693-708
Brain : a journal of neurology 2012 Mar;135(Pt 3):693-708
Pattern of ubiquilin pathology in ALS and FTLD indicates presence of C9ORF72 hexanucleotide expansion.
Brettschneider J, Van Deerlin VM, Robinson JL, Kwong L, Lee EB, Ali YO, Safren N, Monteiro MJ, Toledo JB, Elman L, McCluskey L, Irwin DJ, Grossman M, Molina-Porcel L, Lee VM, Trojanowski JQ
Acta neuropathologica 2012 Jun;123(6):825-39
Acta neuropathologica 2012 Jun;123(6):825-39
Dystrophic neurites express C9orf72 in Alzheimer's disease brains.
Satoh J, Tabunoki H, Ishida T, Saito Y, Arima K
Alzheimer's research & therapy 2012 Aug 16;4(4):33
Alzheimer's research & therapy 2012 Aug 16;4(4):33
No comments: Submit comment
Supportive validation
- Submitted by
- Novus Biologicals (provider)
- Main image

- Experimental details
- Immunohistochemistry-Paraffin: C9orf72 Antibody [NBP1-93504] - Staining of human pancreas shows very weak cytoplasmic positivity in exocrine glandular cells.
- Submitted by
- Novus Biologicals (provider)
- Main image

- Experimental details
- Immunohistochemistry-Paraffin: C9orf72 Antibody [NBP1-93504] - Staining of human gastrointestinal shows strong cytoplasmic positivity in glandular cells.
- Submitted by
- Novus Biologicals (provider)
- Main image

- Experimental details
- Immunohistochemistry-Paraffin: C9orf72 Antibody [NBP1-93504] - Staining of human testis shows moderate cytoplasmic positivity in cells in seminiferous ducts.
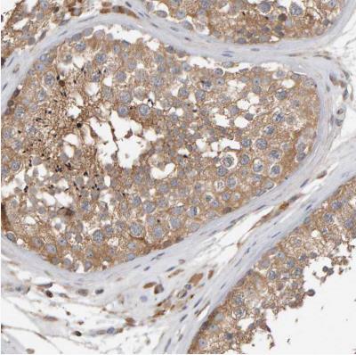
- Submitted by
- Novus Biologicals (provider)
- Main image

- Experimental details
- Immunohistochemistry-Paraffin: C9orf72 Antibody [NBP1-93504] - Staining of human cerebral cortex shows weak to moderate cytoplasmic positivity in neurons.