Antibody data
- Antibody Data
- Antigen structure
- References [1]
- Comments [0]
- Validations
- Immunohistochemistry [1]
Submit
Validation data
Reference
Comment
Report error
- Product number
- PAB6510 - Provider product page

- Provider
- Abnova Corporation
- Proper citation
- Abnova Corporation Cat#PAB6510, RRID:AB_1577666
- Product name
- NET1 polyclonal antibody
- Antibody type
- Polyclonal
- Description
- Goat polyclonal antibody raised against synthetic peptide of NET1.
- Antigen sequence
C-DKALSGGKRKETLV- Storage
- Store at -20°C.Aliquot to avoid repeated freezing and thawing.
Submitted references Isolation of a novel oncogene, NET1, from neuroepithelioma cells by expression cDNA cloning.
Chan AM, Takai S, Yamada K, Miki T
Oncogene 1996 Mar 21;12(6):1259-66
Oncogene 1996 Mar 21;12(6):1259-66
No comments: Submit comment
Supportive validation
- Submitted by
- Abnova Corporation (provider)
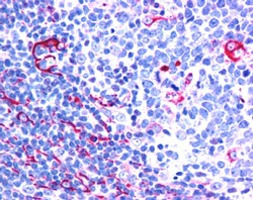
- Main image

- Experimental details
- NET1 polyclonal antibody (Cat # PAB6510) staining (2.5 ug/mL) of paraffin embedded human tonsil. Steamed antigen retrieval with citrate buffer pH 6, AP-staining.
- Validation comment
- Immunohistochemistry (Formalin/PFA-fixed paraffin-embedded sections)