Antibody data
- Antibody Data
- Antigen structure
- References [0]
- Comments [0]
- Validations
- Western blot [2]
- Immunocytochemistry [1]
- Immunohistochemistry [1]
- Other assay [1]
Submit
Validation data
Reference
Comment
Report error
- Product number
- H00002618-M01 - Provider product page

- Provider
- Invitrogen Antibodies
- Product name
- GART Monoclonal Antibody (4D6-1D5)
- Antibody type
- Monoclonal
- Antigen
- Recombinant full-length protein
- Reactivity
- Human
- Host
- Mouse
- Isotype
- IgG
- Antibody clone number
- 4D6-1D5
- Vial size
- 100 µg
- Concentration
- See Label
- Storage
- -20° C, Avoid Freeze/Thaw Cycles
No comments: Submit comment
Supportive validation
- Submitted by
- Invitrogen Antibodies (provider)
- Main image

- Experimental details
- Western Blot analysis of GART expression in transfected 293T cell line by GART monoclonal antibody (M01), clone 4D6-1D5.Lane 1: GART transfected lysate(46 KDa).Lane 2: Non-transfected lysate.
- Submitted by
- Invitrogen Antibodies (provider)
- Main image

- Experimental details
- GART monoclonal antibody (M01), clone 4D6-1D5 Western Blot analysis of GART expression in HeLa S3 NE (Cat # L013V3).
Supportive validation
- Submitted by
- Invitrogen Antibodies (provider)
- Main image

- Experimental details
- Immunofluorescence of monoclonal antibody to GART on HeLa cell. Antibody concentration is 10 µg/mL.
Supportive validation
- Submitted by
- Invitrogen Antibodies (provider)
- Main image

- Experimental details
- Immunoperoxidase of monoclonal antibody to GART on formalin-fixed paraffin-embedded human endometrium tissue. Antibody concentration is 2 µg/mL.
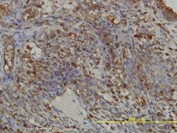
Supportive validation
- Submitted by
- Invitrogen Antibodies (provider)
- Main image

- Experimental details
- Immunoprecipitation of GART transfected lysate using anti-GART monoclonal antibody and Protein A Magnetic Bead, and immunoblotted with GART MaxPab rabbit polyclonal antibody.