Antibody data
- Antibody Data
 - Antigen structure
 - References [0]
 - Comments [0]
 - Validations
 - Western blot [1]
 - Immunohistochemistry [2]
 
Submit
Validation data
Reference
Comment
Report error
- Product number
 - LS-C199136 - Provider product page

 - Provider
 - LSBio
 - Product name
 - ACO1 / Aconitase Antibody (phospho-Ser711) LS-C199136
 - Antibody type
 - Polyclonal
 - Description
 - Immunoaffinity purified
 - Reactivity
 - Human, Mouse, Rat
 - Host
 - Rabbit
 - Isotype
 - IgG
 - Storage
 - Store at -20°C.
 
				No comments: Submit comment	
	
			
							
					Enhanced validation
					
									
				
				- Submitted by
 - LSBio (provider)
 - Enhanced method
 - Genetic validation
 - Main image
 
- Experimental details
 - Western blot analysis of lysates from 293 cells treated with insulin 0.01U/ml 30', using IREB1 (Phospho-Ser711) Antibody. The lane on the right is blocked with the phospho peptide.
 
							
					Supportive validation
					
									
				
		- Submitted by
 - LSBio (provider)
 - Enhanced method
 - Genetic validation
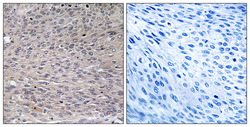
 - Main image
 
- Experimental details
 - Immunohistochemistry analysis of paraffin-embedded human thyroid gland, using IREB1 (Phospho-Ser711) Antibody. The picture on the right is blocked with the phospho peptide.
 
- Submitted by
 - LSBio (provider)
 - Enhanced method
 - Genetic validation
 - Main image
 
- Experimental details
 - Immunohistochemistry analysis of paraffin-embedded human thyroid gland, using IREB1 (Phospho-Ser711) Antibody. The picture on the right is blocked with the phospho peptide.