Antibody data
- Antibody Data
 - Antigen structure
 - References [0]
 - Comments [0]
 - Validations
 - Western blot [1]
 - Immunohistochemistry [1]
 
Submit
Validation data
Reference
Comment
Report error
- Product number
 - GTX128976 - Provider product page

 - Provider
 - GeneTex
 - Product name
 - Aconitase 1 antibody
 - Antibody type
 - Polyclonal
 - Reactivity
 - Human
 - Host
 - Rabbit
 
				No comments: Submit comment	
	
			
							
					Supportive validation
					
									
				
				- Submitted by
 - GeneTex (provider)
 - Main image
 
- Experimental details
 - Aconitase 1 antibody detects Aconitase 1 protein by Western blot analysis.A. 30 ?g A431 whole cell lysate/extract B. 30 ?g HeLa whole cell lysate/extract C. 30 ?g HepG2 whole cell lysate/extract7.5 % SDS-PAGEAconitase 1 antibody (GTX128976) dilution: 1:1000
 
							
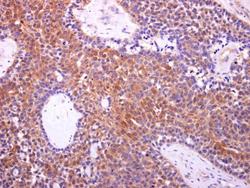
					Supportive validation
					
									
				
		- Submitted by
 - GeneTex (provider)
 - Main image
 
- Experimental details
 - Aconitase 1 antibody detects Aconitase 1 protein at cytoplasm on human lung carcinoma by immunohistochemical analysis. Sample: Paraffin-embedded human lung carcinoma. Aconitase 1 antibody (GTX128976) diluted at 1:500.