Antibody data
- Antibody Data
- Antigen structure
- References [8]
- Comments [0]
- Validations
- Western blot [1]
- Immunohistochemistry [2]
Submit
Validation data
Reference
Comment
Report error
- Product number
- 22109-1-AP - Provider product page

- Provider
- Proteintech Group
- Proper citation
- Proteintech Cat#22109-1-AP, RRID:AB_10949189
- Product name
- ALDH1A1-specific antibody
- Antibody type
- Polyclonal
- Description
- KD/KO validated ALDH1A1-specific antibody (Cat. #22109-1-AP) is a rabbit polyclonal antibody that shows reactivity with human, mouse, rat and has been validated for the following applications: FC, IF, IHC, WB,ELISA.
- Reactivity
- Human, Mouse, Rat
- Host
- Rabbit
- Conjugate
- Unconjugated
- Isotype
- IgG
- Vial size
- 20ul, 150ul
Submitted references Distinctive multicellular immunosuppressive hubs confer different intervention strategies for left- and right-sided colon cancers.
Aldehyde Dehydrogenase, a Marker of Normal and Malignant Stem Cells, Typifies Mesenchymal Progenitors in Perivascular Niches.
Transcriptional Silencing of ALDH2 Confers a Dependency on Fanconi Anemia Proteins in Acute Myeloid Leukemia.
Parthenolide inhibits the tumor characteristics of renal cell carcinoma.
PRMT3 interacts with ALDH1A1 and regulates gene-expression by inhibiting retinoic acid signaling.
TGFβ1 Promotes Gemcitabine Resistance through Regulating the LncRNA-LET/NF90/miR-145 Signaling Axis in Bladder Cancer.
Long noncoding RNA ASAP1-IT1 promotes cancer stemness and predicts a poor prognosis in patients with bladder cancer.
Renal cell carcinoma with synchronous ipsilateral urothelial carcinoma of the renal pelvis.
Liu B, Li S, Cheng Y, Song P, Xu M, Li Z, Shao W, Xin J, Fu Z, Gu D, Du M, Zhang Z, Wang M
Cell reports. Medicine 2024 Jun 18;5(6):101589
Cell reports. Medicine 2024 Jun 18;5(6):101589
Aldehyde Dehydrogenase, a Marker of Normal and Malignant Stem Cells, Typifies Mesenchymal Progenitors in Perivascular Niches.
Gomez-Salazar MA, Wang Y, Thottappillil N, Hardy RW, Alexandre M, Höller F, Martin N, Gonzalez-Galofre ZN, Stefancova D, Medici D, James AW, Péault B
Stem cells translational medicine 2023 Jul 14;12(7):474-484
Stem cells translational medicine 2023 Jul 14;12(7):474-484
Transcriptional Silencing of ALDH2 Confers a Dependency on Fanconi Anemia Proteins in Acute Myeloid Leukemia.
Yang Z, Wu XS, Wei Y, Polyanskaya SA, Iyer SV, Jung M, Lach FP, Adelman ER, Klingbeil O, Milazzo JP, Kramer M, Demerdash OE, Chang K, Goodwin S, Hodges E, McCombie WR, Figueroa ME, Smogorzewska A, Vakoc CR
Cancer discovery 2021 Sep;11(9):2300-2315
Cancer discovery 2021 Sep;11(9):2300-2315
Parthenolide inhibits the tumor characteristics of renal cell carcinoma.
Liu D, Han Y, Liu L, Ren X, Zhang H, Fan S, Qin T, Li L
International journal of oncology 2021 Jan;58(1):100-110
International journal of oncology 2021 Jan;58(1):100-110
PRMT3 interacts with ALDH1A1 and regulates gene-expression by inhibiting retinoic acid signaling.
Verma M, Khan MIK, Kadumuri RV, Chakrapani B, Awasthi S, Mahesh A, Govindaraju G, Chavali PL, Rajavelu A, Chavali S, Dhayalan A
Communications biology 2021 Jan 25;4(1):109
Communications biology 2021 Jan 25;4(1):109
TGFβ1 Promotes Gemcitabine Resistance through Regulating the LncRNA-LET/NF90/miR-145 Signaling Axis in Bladder Cancer.
Zhuang J, Shen L, Yang L, Huang X, Lu Q, Cui Y, Zheng X, Zhao X, Zhang D, Huang R, Guo H, Yan J
Theranostics 2017;7(12):3053-3067
Theranostics 2017;7(12):3053-3067
Long noncoding RNA ASAP1-IT1 promotes cancer stemness and predicts a poor prognosis in patients with bladder cancer.
Yang L, Xue Y, Liu J, Zhuang J, Shen L, Shen B, Yan J, Guo H
Neoplasma 2017;64(6):847-855
Neoplasma 2017;64(6):847-855
Renal cell carcinoma with synchronous ipsilateral urothelial carcinoma of the renal pelvis.
Lu Q, Zhuang J, Guo H
Oncology letters 2017 Jun;13(6):4521-4525
Oncology letters 2017 Jun;13(6):4521-4525
No comments: Submit comment
Supportive validation
- Submitted by
- Proteintech Group (provider)
- Main image

- Experimental details
- human liver tissue were subjected to SDS PAGE followed by western blot with 22109-1-AP(ALDH1A1 antibody) at dilution of 1:1000
- Sample type
- tissue
Supportive validation
- Submitted by
- Proteintech Group (provider)
- Main image

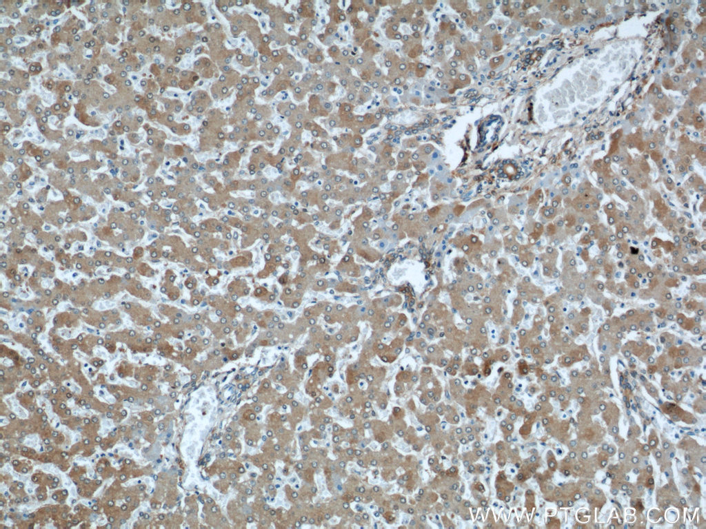
- Experimental details
- Immunohistochemical of paraffin-embedded human liver using 22109-1-AP(ALDH1A1 antibody) at dilution of 1:50 (under 10x lens)
- Sample type
- tissue
- Submitted by
- Proteintech Group (provider)
- Main image

- Experimental details
- The ALDH1A1 antibody from Proteintech is a rabbit polyclonal antibody to a fusion protein of human ALDH1A1. This antibody recognizes human,mouse,rat antigen. The ALDH1A1 antibody has been validated for the following applications: ELISA, WB, IHC analysis.