Antibody data
- Antibody Data
- Antigen structure
- References [16]
- Comments [0]
- Validations
- Western blot [1]
- Immunohistochemistry [2]
Submit
Validation data
Reference
Comment
Report error
- Product number
- 10116-1-AP - Provider product page

- Provider
- Proteintech Group
- Proper citation
- Proteintech Cat#10116-1-AP, RRID:AB_2279073
- Product name
- GDI2 antibody
- Antibody type
- Polyclonal
- Description
- GDI2 antibody (Cat. #10116-1-AP) is a rabbit polyclonal antibody that shows reactivity with human, mouse, rat and has been validated for the following applications: IHC, WB, ELISA.
- Reactivity
- Human, Mouse, Rat
- Host
- Rabbit
- Conjugate
- Unconjugated
- Isotype
- IgG
- Vial size
- 20ul, 150ul
Submitted references Silencing GDI2 inhibits proliferation, migration and invasion of colorectal cancer through activation of p53 signaling pathway.
Enhanced mapping of small-molecule binding sites in cells.
GDI2 deletion alleviates neurodegeneration and memory loss in the 5xFAD mice model of Alzheimer's disease.
Poly(ADP-ribose) Polymerase 1 Mediates Rab5 Inactivation after DNA Damage.
Rab34 GTPase mediates ciliary membrane formation in the intracellular ciliogenesis pathway.
TRIM39 deficiency inhibits tumor progression and autophagic flux in colorectal cancer via suppressing the activity of Rab7.
Levels of the Rab GDP dissociation inhibitor (GDI) are altered in the prenatal restrain stress mouse model of schizophrenia and are differentially regulated by the mGlu2/3 receptor agonists, LY379268 and LY354740.
Bioinformatics analysis of Rab GDP dissociation inhibitor beta and its expression in non-small cell lung cancer.
Proteomics-based identification of a group of apoptosis-related proteins and biomarkers in gastric cancer.
SILAC-based quantitative proteomic approach to identify potential biomarkers from the esophageal squamous cell carcinoma secretome.
Structural mechanism of host Rab1 activation by the bifunctional Legionella type IV effector SidM/DrrA.
Disease mutations in Rab7 result in unregulated nucleotide exchange and inappropriate activation.
A bifunctional bacterial protein links GDI displacement to Rab1 activation.
Serum proteomic-based analysis of pancreatic carcinoma for the identification of potential cancer biomarkers.
Differential proteomics analysis of synaptic proteins identifies potential cellular targets and protein mediators of synaptic neuroprotection conferred by the slow Wallerian degeneration (Wlds) gene.
Comprehensive gene expression profiling of anaplastic thyroid cancers with cDNA microarray of 25 344 genes.
Ou WT, Tan RJ, Zhai JW, Sun LJ, Xu FP, Huang XJ, Quan ZH, Zhou CJ
Heliyon 2024 Sep 30;10(18):e37770
Heliyon 2024 Sep 30;10(18):e37770
Enhanced mapping of small-molecule binding sites in cells.
Wozniak JM, Li W, Governa P, Chen LY, Jadhav A, Dongre A, Forli S, Parker CG
Nature chemical biology 2024 Jul;20(7):823-834
Nature chemical biology 2024 Jul;20(7):823-834
GDI2 deletion alleviates neurodegeneration and memory loss in the 5xFAD mice model of Alzheimer's disease.
Wang M, He X, Li J, Han D, You P, Yu H, Wang L, Su B
Biochimica et biophysica acta. Molecular basis of disease 2024 Apr;1870(4):167093
Biochimica et biophysica acta. Molecular basis of disease 2024 Apr;1870(4):167093
Poly(ADP-ribose) Polymerase 1 Mediates Rab5 Inactivation after DNA Damage.
Mashimo M, Morozumi A, Nobeyama A, Kanzaki M, Negi S, Kato J, Moss J, Nomura A, Fujii T
International journal of molecular sciences 2022 Jul 15;23(14)
International journal of molecular sciences 2022 Jul 15;23(14)
Rab34 GTPase mediates ciliary membrane formation in the intracellular ciliogenesis pathway.
Ganga AK, Kennedy MC, Oguchi ME, Gray S, Oliver KE, Knight TA, De La Cruz EM, Homma Y, Fukuda M, Breslow DK
Current biology : CB 2021 Jul 12;31(13):2895-2905.e7
Current biology : CB 2021 Jul 12;31(13):2895-2905.e7
TRIM39 deficiency inhibits tumor progression and autophagic flux in colorectal cancer via suppressing the activity of Rab7.
Hu J, Ding X, Tian S, Chu Y, Liu Z, Li Y, Li X, Wang G, Wang L, Wang Z
Cell death & disease 2021 Apr 12;12(4):391
Cell death & disease 2021 Apr 12;12(4):391
Levels of the Rab GDP dissociation inhibitor (GDI) are altered in the prenatal restrain stress mouse model of schizophrenia and are differentially regulated by the mGlu2/3 receptor agonists, LY379268 and LY354740.
Orlando R, Borro M, Motolese M, Molinaro G, Scaccianoce S, Caruso A, di Nuzzo L, Caraci F, Matrisciano F, Pittaluga A, Mairesse J, Simmaco M, Nisticò R, Monn JA, Nicoletti F
Neuropharmacology 2014 Nov;86:133-44
Neuropharmacology 2014 Nov;86:133-44
Bioinformatics analysis of Rab GDP dissociation inhibitor beta and its expression in non-small cell lung cancer.
Ming Z, Guo C, Jiang M, Li W, Zhang Y, Fan N, Zhong Y, Meng X, Yang S
Diagnostic pathology 2014 Nov 4;9:201
Diagnostic pathology 2014 Nov 4;9:201
Proteomics-based identification of a group of apoptosis-related proteins and biomarkers in gastric cancer.
Bai Z, Ye Y, Liang B, Xu F, Zhang H, Zhang Y, Peng J, Shen D, Cui Z, Zhang Z, Wang S
International journal of oncology 2011 Feb;38(2):375-83
International journal of oncology 2011 Feb;38(2):375-83
SILAC-based quantitative proteomic approach to identify potential biomarkers from the esophageal squamous cell carcinoma secretome.
Kashyap MK, Harsha HC, Renuse S, Pawar H, Sahasrabuddhe NA, Kim MS, Marimuthu A, Keerthikumar S, Muthusamy B, Kandasamy K, Subbannayya Y, Prasad TS, Mahmood R, Chaerkady R, Meltzer SJ, Kumar RV, Rustgi AK, Pandey A
Cancer biology & therapy 2010 Oct 15;10(8):796-810
Cancer biology & therapy 2010 Oct 15;10(8):796-810
Structural mechanism of host Rab1 activation by the bifunctional Legionella type IV effector SidM/DrrA.
Zhu Y, Hu L, Zhou Y, Yao Q, Liu L, Shao F
Proceedings of the National Academy of Sciences of the United States of America 2010 Mar 9;107(10):4699-704
Proceedings of the National Academy of Sciences of the United States of America 2010 Mar 9;107(10):4699-704
Disease mutations in Rab7 result in unregulated nucleotide exchange and inappropriate activation.
McCray BA, Skordalakes E, Taylor JP
Human molecular genetics 2010 Mar 15;19(6):1033-47
Human molecular genetics 2010 Mar 15;19(6):1033-47
A bifunctional bacterial protein links GDI displacement to Rab1 activation.
Machner MP, Isberg RR
Science (New York, N.Y.) 2007 Nov 9;318(5852):974-7
Science (New York, N.Y.) 2007 Nov 9;318(5852):974-7
Serum proteomic-based analysis of pancreatic carcinoma for the identification of potential cancer biomarkers.
Sun ZL, Zhu Y, Wang FQ, Chen R, Peng T, Fan ZN, Xu ZK, Miao Y
Biochimica et biophysica acta 2007 Jun;1774(6):764-71
Biochimica et biophysica acta 2007 Jun;1774(6):764-71
Differential proteomics analysis of synaptic proteins identifies potential cellular targets and protein mediators of synaptic neuroprotection conferred by the slow Wallerian degeneration (Wlds) gene.
Wishart TM, Paterson JM, Short DM, Meredith S, Robertson KA, Sutherland C, Cousin MA, Dutia MB, Gillingwater TH
Molecular & cellular proteomics : MCP 2007 Aug;6(8):1318-30
Molecular & cellular proteomics : MCP 2007 Aug;6(8):1318-30
Comprehensive gene expression profiling of anaplastic thyroid cancers with cDNA microarray of 25 344 genes.
Onda M, Emi M, Yoshida A, Miyamoto S, Akaishi J, Asaka S, Mizutani K, Shimizu K, Nagahama M, Ito K, Tanaka T, Tsunoda T
Endocrine-related cancer 2004 Dec;11(4):843-54
Endocrine-related cancer 2004 Dec;11(4):843-54
No comments: Submit comment
Supportive validation
- Submitted by
- Proteintech Group (provider)
- Main image

- Experimental details
- mouse brain tissue were subjected to SDS PAGE followed by western blot with 10116-1-AP(GDI2 antibody) at dilution of 1:500
- Sample type
- tissue
Supportive validation
- Submitted by
- Proteintech Group (provider)
- Main image

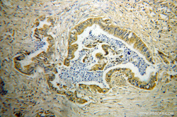
- Experimental details
- Immunohistochemical of paraffin-embedded human pancreas cancer using 10116-1-AP(GDI2 antibody) at dilution of 1:10 (under 10x lens)
- Sample type
- tissue
- Submitted by
- Proteintech Group (provider)
- Main image

- Experimental details
- The GDI2 antibody from Proteintech is a rabbit polyclonal antibody to a recombinant protein of human GDI2. This antibody recognizes human, mouse, rat antigen. The GDI2 antibody has been validated for the following applications: ELISA, WB, IHC analysis.