Antibody data
- Antibody Data
- Antigen structure
- References [0]
- Comments [0]
- Validations
- Western blot [2]
- Immunohistochemistry [1]
Submit
Validation data
Reference
Comment
Report error
- Product number
- TA331907 - Provider product page

- Provider
- OriGene
- Product name
- Rabbit Polyclonal Anti-TTRAP Antibody
- Antibody type
- Polyclonal
- Description
- Rabbit Polyclonal Anti-TTRAP Antibody
- Host
- Rabbit
- Conjugate
- Unconjugated
- Epitope
- TDP2
- Isotype
- IgG
- Antibody clone number
- NULL
- Vial size
- 100 µl
- Concentration
- NULL
No comments: Submit comment
Supportive validation
- Submitted by
- OriGene (provider)
- Main image

- Experimental details
- WB Suggested Anti-TTRAP Antibody Titration: 0.2-1 ug/ml; Positive Control: HepG2 cell lysateTDP2 is supported by BioGPS gene expression data to be expressed in HepG2
- Validation comment
- WB
- Submitted by
- OriGene (provider)
- Main image

- Experimental details
- Sample: 1. DT40 (5x105cells); 2. DT40 + rec. hTDP2 (5x105cells); 3. soluble HIS-hTDP2 (5x105cells); 4. pellet HIS-hTDP2 (5x105cells); Primary dilution: 1: 1000; Secondary Antibody: dakocytomation Goat anti-rabbit; Secondary dilution: 1: 5000; Image Submit
- Validation comment
- WB
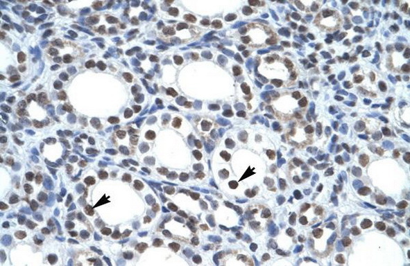
Supportive validation
- Submitted by
- OriGene (provider)
- Main image

- Experimental details
- Human kidney
- Validation comment
- IHC