Antibody data
- Antibody Data
- Antigen structure
- References [0]
- Comments [0]
- Validations
- Immunohistochemistry [4]
Submit
Validation data
Reference
Comment
Report error
- Product number
- PA5-53745 - Provider product page

- Provider
- Invitrogen Antibodies
- Product name
- YBEY Polyclonal Antibody
- Antibody type
- Polyclonal
- Antigen
- Recombinant protein fragment
- Description
- Immunogen sequence: MSLVIRNLQR VIPIRRAPLR SKIEIVRRIL GVQKFDLGII CVDNKNIQHI NRIYRDRNVP TDVLSFPFHE HLKAGEFP Highest antigen sequence identity to the following orthologs: Mouse - 81%, Rat - 83%.
- Reactivity
- Human, Mouse, Rat
- Host
- Rabbit
- Isotype
- IgG
- Vial size
- 100 μL
- Concentration
- 0.1 mg/mL
- Storage
- Store at 4°C short term. For long term storage, store at -20°C, avoiding freeze/thaw cycles.
No comments: Submit comment
Supportive validation
- Submitted by
- Invitrogen Antibodies (provider)
- Main image

- Experimental details
- Immunohistochemical analysis of YBEY in human skeletal muscle using YBEY Polyclonal Antibody (Product # PA5-53745) shows no positivity in myocytes as expected.
- Submitted by
- Invitrogen Antibodies (provider)
- Main image

- Experimental details
- Immunohistochemical analysis of YBEY in human testis using YBEY Polyclonal Antibody (Product # PA5-53745) shows moderate to strong granular cytoplasmic positivity in seminiferous ducts.
- Submitted by
- Invitrogen Antibodies (provider)
- Main image

- Experimental details
- Immunohistochemical analysis of YBEY in human prostate using YBEY Polyclonal Antibody (Product # PA5-53745) shows moderate granular cytoplasmic positivity in glandular cells.
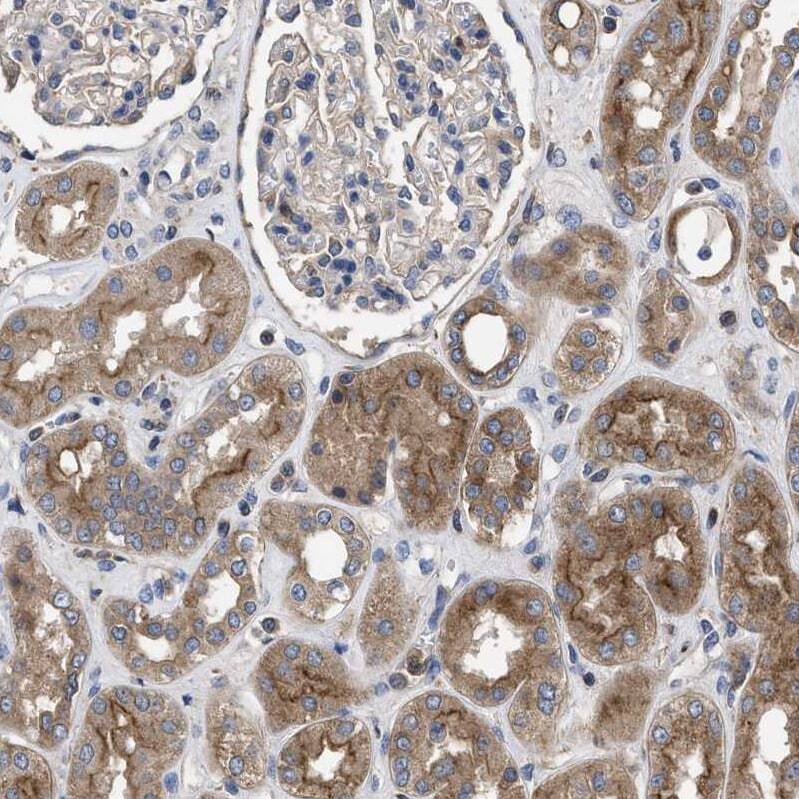
- Submitted by
- Invitrogen Antibodies (provider)
- Main image

- Experimental details
- Immunohistochemical analysis of YBEY in human kidney using YBEY Polyclonal Antibody (Product # PA5-53745) shows moderate cytoplasmic positivity in cells in tubules.