Antibody data
- Antibody Data
- Antigen structure
- References [0]
- Comments [0]
- Validations
- Immunocytochemistry [3]
- Immunohistochemistry [1]
Submit
Validation data
Reference
Comment
Report error
- Product number
- LS-C680051 - Provider product page

- Provider
- LSBio
- Product name
- YBEY / C21orf57 Antibody LS-C680051
- Antibody type
- Polyclonal
- Description
- Protein G purified
- Reactivity
- Human
- Host
- Rabbit
- Isotype
- IgG
- Storage
- Upon receipt, store at -20°C or -80°C. Avoid repeated freeze.
No comments: Submit comment
Supportive validation
- Submitted by
- LSBio (provider)
- Enhanced method
- Genetic validation
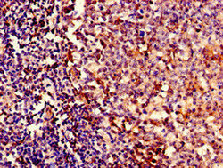
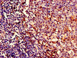
- Main image

- Experimental details
- Immunocytochemistry analysis of human tonsil tissue diluted at 1:100
- Submitted by
- LSBio (provider)
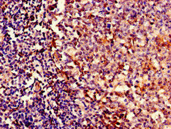
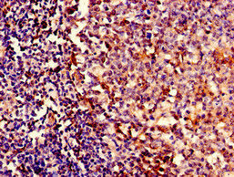
- Main image

- Experimental details
- Immunocytochemistry analysis of human tonsil tissue diluted at 1:100
- Submitted by
- LSBio (provider)
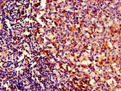
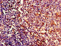
- Main image

- Experimental details
- Immunocytochemistry analysis of human tonsil tissue diluted at 1:100
Supportive validation
- Submitted by
- LSBio (provider)
- Enhanced method
- Genetic validation
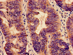
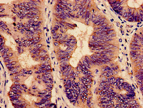
- Main image

- Experimental details
- Immunohistochemistry analysis of human colon cancer at a dilution of 1:100