Antibody data
- Antibody Data
- Antigen structure
- References [1]
- Comments [0]
- Validations
- Western blot [1]
- Immunohistochemistry [2]
Submit
Validation data
Reference
Comment
Report error
- Product number
- GTX102924 - Provider product page

- Provider
- GeneTex
- Proper citation
- GeneTex Cat#GTX102924, RRID:AB_11178329
- Product name
- HRH1 antibody
- Antibody type
- Polyclonal
- Reactivity
- Human
- Host
- Rabbit
Submitted references Involvement of the H1 Histamine Receptor, p38 MAP Kinase, Myosin Light Chains Kinase, and Rho/ROCK in Histamine-Induced Endothelial Barrier Dysfunction.
Adderley SP, Zhang XE, Breslin JW
Microcirculation (New York, N.Y. : 1994) 2015 May;22(4):237-48
Microcirculation (New York, N.Y. : 1994) 2015 May;22(4):237-48
No comments: Submit comment
Supportive validation
- Submitted by
- GeneTex (provider)
- Main image

- Experimental details
- Sample (30 ?g of whole cell lysate) A: 293T B: A431 C: HeLa D: HepG2 7.5% SDS PAGE GTX102924 diluted at 1:1000 The HRP-conjugated anti-rabbit IgG antibody (GTX213110-01) was used to detect the primary antibody.
Supportive validation
- Submitted by
- GeneTex (provider)
- Main image

- Experimental details
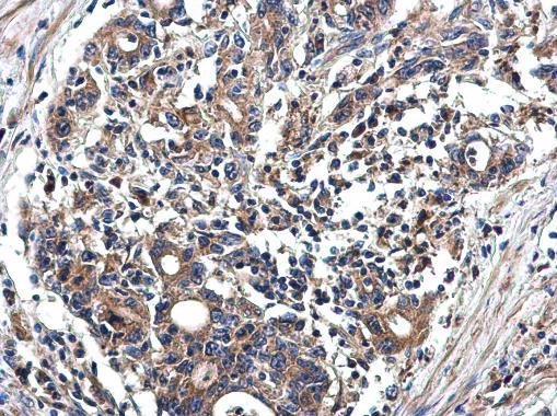
- HRH1 antibody detects HRH1 protein at cytoplasm on human hepatocellular carcinomas by immunohistochemical analysis. Sample: Paraffin-embedded human hepatocellular carcinomas. HRH1 antibody (GTX102924) diluted at 1:500.
- Submitted by
- GeneTex (provider)
- Main image

- Experimental details
- HRH1 antibody detects HRH1 protein at cytoplasm on human colon carcinoma by immunohistochemical analysis. Sample: Paraffin-embedded human colon carcinoma. HRH1 antibody (GTX102924) diluted at 1:500.