20331-1-AP
antibody from Proteintech Group
Targeting: LTBR
D12S370, TNF-R-III, TNFCR, TNFR-RP, TNFR2-RP, TNFRSF3
Antibody data
- Antibody Data
- Antigen structure
- References [7]
- Comments [0]
- Validations
- Western blot [1]
- Immunohistochemistry [2]
- Flow cytometry [1]
Submit
Validation data
Reference
Comment
Report error
- Product number
- 20331-1-AP - Provider product page

- Provider
- Proteintech Group
- Proper citation
- Proteintech Cat#20331-1-AP, RRID:AB_10694276
- Product name
- LTBR antibody
- Antibody type
- Polyclonal
- Description
- KD/KO validated LTBR antibody (Cat. #20331-1-AP) is a rabbit polyclonal antibody that shows reactivity with human, mouse and has been validated for the following applications: FC, IHC, WB, ELISA.
- Reactivity
- Human, Mouse
- Host
- Rabbit
- Conjugate
- Unconjugated
- Isotype
- IgG
- Vial size
- 20ul, 150ul
Submitted references Comprehensive analysis reveals that LTBR is a immune-related biomarker for glioma.
A LIGHT-HVEM/LTβR axis contributes to the fibrosis of intrauterine adhesion.
Activation of NF-κB-Inducing Kinase in Islet β Cells Causes β Cell Failure and Diabetes.
Islet α-cell Inflammation Induced By NF-κB inducing kinase (NIK) Leads to Hypoglycemia, Pancreatitis, Growth Retardation, and Postnatal Death in Mice.
Lymphotoxins Promote the Progression of Human Lymphatic Malformation by Enhancing Lymphatic Endothelial Cell Proliferation.
Lymphotoxin β receptor activation promotes mRNA expression of RelA and pro-inflammatory cytokines TNFα and IL-1β in bladder cancer cells.
SNX17 affects T cell activation by regulating TCR and integrin recycling.
Tang Q, Yuan Y, Li L, Xu Y, Ji W, Xiao S, Han Y, Miao W, Cai J, You P, Chen M, Ding S, Li Z, Qi Z, Hou W, Luo H
Computers in biology and medicine 2024 May;174:108457
Computers in biology and medicine 2024 May;174:108457
A LIGHT-HVEM/LTβR axis contributes to the fibrosis of intrauterine adhesion.
Abudukeyoumu A, Lai ZZ, Lu JJ, Zhang X, Hou DY, Dong J, Wu JN, Li MQ, Xie F
Journal of reproductive immunology 2022 Sep;153:103693
Journal of reproductive immunology 2022 Sep;153:103693
Activation of NF-κB-Inducing Kinase in Islet β Cells Causes β Cell Failure and Diabetes.
Li X, Wu Y, Song Y, Ding N, Lu M, Jia L, Zhao Y, Liu M, Chen Z
Molecular therapy : the journal of the American Society of Gene Therapy 2020 Nov 4;28(11):2430-2441
Molecular therapy : the journal of the American Society of Gene Therapy 2020 Nov 4;28(11):2430-2441
Islet α-cell Inflammation Induced By NF-κB inducing kinase (NIK) Leads to Hypoglycemia, Pancreatitis, Growth Retardation, and Postnatal Death in Mice.
Li X, Jia L, Chen X, Dong Y, Ren X, Dong Y, Chen Y, Xie L, Liu M, Shiota C, Gittes GK, Rui L, Chen Z
Theranostics 2018;8(21):5960-5971
Theranostics 2018;8(21):5960-5971
Lymphotoxins Promote the Progression of Human Lymphatic Malformation by Enhancing Lymphatic Endothelial Cell Proliferation.
Yang JG, Sun YF, He KF, Ren JG, Liu ZJ, Liu B, Zhang W, Zhao YF
The American journal of pathology 2017 Nov;187(11):2602-2615
The American journal of pathology 2017 Nov;187(11):2602-2615
Lymphotoxin β receptor activation promotes mRNA expression of RelA and pro-inflammatory cytokines TNFα and IL-1β in bladder cancer cells.
Shen M, Zhou L, Zhou P, Zhou W, Lin X
Molecular medicine reports 2017 Jul;16(1):937-942
Molecular medicine reports 2017 Jul;16(1):937-942
SNX17 affects T cell activation by regulating TCR and integrin recycling.
Osborne DG, Piotrowski JT, Dick CJ, Zhang JS, Billadeau DD
Journal of immunology (Baltimore, Md. : 1950) 2015 May 1;194(9):4555-66
Journal of immunology (Baltimore, Md. : 1950) 2015 May 1;194(9):4555-66
No comments: Submit comment
Supportive validation
- Submitted by
- Proteintech Group (provider)
- Main image

- Experimental details
- mouse brain tissue were subjected to SDS PAGE followed by western blot with 20331-1-AP(LTBR antibody) at dilution of 1:1000
- Sample type
- tissue
Supportive validation
- Submitted by
- Proteintech Group (provider)
- Main image

- Experimental details
- Immunohistochemical of paraffin-embedded human hepatocirrhosis using 20331-1-AP(LTBR antibody) at dilution of 1:50 (under 10x lens)
- Sample type
- tissue
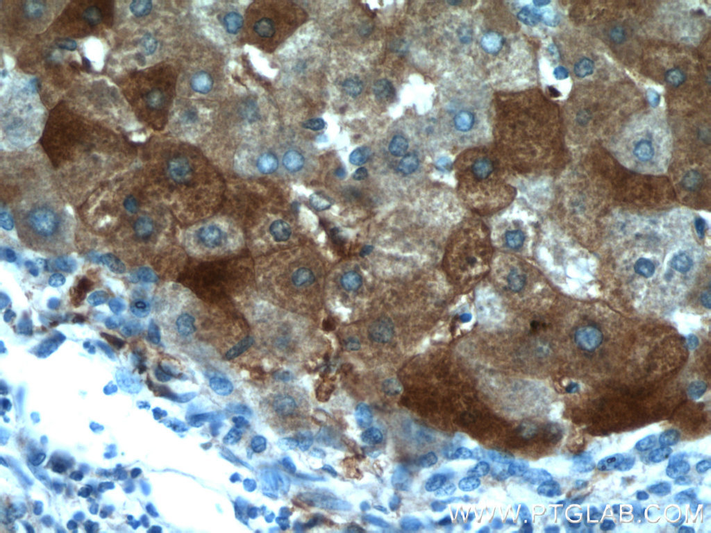
- Submitted by
- Proteintech Group (provider)
- Main image

- Experimental details
- Immunohistochemical of paraffin-embedded human hepatocirrhosis using 20331-1-AP(LTBR antibody) at dilution of 1:50 (under 40x lens)
- Sample type
- tissue
Supportive validation
- Submitted by
- Proteintech Group (provider)
- Main image

- Experimental details
- The LTBR antibody from Proteintech is a rabbit polyclonal antibody to a fusion protein of human LTBR. This antibody recognizes human, mouse antigen. The LTBR antibody has been validated for the following applications: ELISA, WB, IHC, FC analysis.