Antibody data
- Antibody Data
- Antigen structure
- References [0]
- Comments [0]
- Validations
- Western blot [1]
- ELISA [1]
- Immunohistochemistry [1]
Submit
Validation data
Reference
Comment
Report error
- Product number
- LS-B5415 - Provider product page

- Provider
- LSBio
- Product name
- PHB / Prohibitin Antibody (clone 3F4-2B2) IHC-plus™ LS-B5415
- Antibody type
- Monoclonal
- Description
- Purified from ascites by Protein A
- Reactivity
- Human
- Host
- Mouse
- Isotype
- IgG
- Antibody clone number
- 3F4-2B2
- Storage
- Short term 4°C, long term aliquot and store at -20°C, avoid freeze-thaw cycles.
No comments: Submit comment
Supportive validation
- Submitted by
- LSBio (provider)
- Main image

- Experimental details
- PHB monoclonal antibody clone 3F4-2B2 Western blot of PHB expression in HeLa.
Supportive validation
- Submitted by
- LSBio (provider)
- Main image

- Experimental details
- Detection limit for recombinant GST tagged PHB is approximately 0.03 ng/ml as a capture antibody.
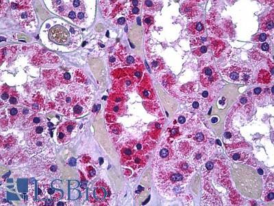
Supportive validation
- Submitted by
- LSBio (provider)
- Main image

- Experimental details
- Anti-PHB / Prohibitin antibody IHC of human kidney, tubules. Immunohistochemistry of formalin-fixed, paraffin-embedded tissue after heat-induced antigen retrieval. Antibody concentration 10 ug/ml.