Antibody data
- Antibody Data
- Antigen structure
- References [3]
- Comments [0]
- Validations
- Western blot [8]
- Immunocytochemistry [3]
- Immunoprecipitation [1]
- Immunohistochemistry [5]
Submit
Validation data
Reference
Comment
Report error
- Product number
- GTX101105 - Provider product page

- Provider
- GeneTex
- Proper citation
- GeneTex Cat#GTX101105, RRID:AB_1951209
- Product name
- Prohibitin antibody
- Antibody type
- Polyclonal
- Reactivity
- Human, Mouse, Rat
- Host
- Rabbit
Submitted references Contribution of Extracellular Matrix and Signal Mechanotransduction to Epithelial Cell Damage in Inflammatory Bowel Disease Patients: A Proteomic Study.
Targeting prohibitins with chemical ligands inhibits KRAS-mediated lung tumours.
5-Methoxytryptophan-dependent protection of cardiomyocytes from heart ischemia reperfusion injury.
Moriggi M, Pastorelli L, Torretta E, Tontini GE, Capitanio D, Bogetto SF, Vecchi M, Gelfi C
Proteomics 2017 Dec;17(23-24)
Proteomics 2017 Dec;17(23-24)
Targeting prohibitins with chemical ligands inhibits KRAS-mediated lung tumours.
Yurugi H, Marini F, Weber C, David K, Zhao Q, Binder H, Désaubry L, Rajalingam K
Oncogene 2017 Aug 17;36(33):4778-4789
Oncogene 2017 Aug 17;36(33):4778-4789
5-Methoxytryptophan-dependent protection of cardiomyocytes from heart ischemia reperfusion injury.
Chou HC, Chan HL
Archives of biochemistry and biophysics 2014 Feb 1;543:15-22
Archives of biochemistry and biophysics 2014 Feb 1;543:15-22
No comments: Submit comment
Enhanced validation
Supportive validation
- Submitted by
- GeneTex (provider)
- Enhanced method
- Genetic validation
- Main image

- Experimental details
- Non-transfected (¡V) and transfected (+) 293T whole cell extracts (30 ?g) were separated by 12% SDS-PAGE, and the membrane was blotted with Prohibitin antibody (GTX101105) diluted at 1:2000. The HRP-conjugated anti-rabbit IgG antibody (GTX213110-01) was used to detect the primary antibody.
Supportive validation
- Submitted by
- GeneTex (provider)
- Main image

- Experimental details
- Sample (30 ?g of whole cell lysate) A:NIH-3T312% SDS PAGE GTX101105 diluted at 1:1000 The HRP-conjugated anti-rabbit IgG antibody (GTX213110-01) was used to detect the primary antibody.
- Submitted by
- GeneTex (provider)
- Main image

- Experimental details
- Prohibitin antibody detects PHB protein by Western blot analysis.A. 30 µg 293T whole cell lysate/extract B. 30 µg A431 whole cell lysate/extract C. 30 µg HeLa whole cell lysate/extract D. 30 µg HepG2 whole cell lysate/extract E. 30 µg A375 whole cell lysate/extract 12 % SDS-PAGEProhibitin antibody (GTX101105) dilution: 1:1000
- Validation comment
- WB
- Submitted by
- GeneTex (provider)
- Main image

- Experimental details
- Prohibitin antibody detects PHB protein by western blot analysis.A. 30 ?g PC-12 whole cell lysate/extract12% SDS-PAGEProhibitin antibody (GTX101105) dilution: 1:1000 The HRP-conjugated anti-rabbit IgG antibody (GTX213110-01) was used to detect the primary antibody.
- Submitted by
- GeneTex (provider)
- Main image

- Experimental details
- Prohibitin antibody detects Prohibitin protein by western blot analysis. Various whole cell extracts (30 ?g) were separated by 12% SDS-PAGE, and the membrane was blotted with Prohibitin antibody (GTX101105) diluted by 1:1000. The HRP-conjugated anti-rabbit IgG antibody (GTX213110-01) was used to detect the primary antibody.
- Submitted by
- GeneTex (provider)
- Main image

- Experimental details
- Non-transfected (¡V) and transfected (+) 293T whole cell extracts (30 ?g) were separated by 12% SDS-PAGE, and the membrane was blotted with Prohibitin antibody (GTX101105) diluted at 1:2000. The HRP-conjugated anti-rabbit IgG antibody (GTX213110-01) was used to detect the primary antibody.
- Submitted by
- GeneTex (provider)
- Main image

- Experimental details
- Various whole cell extracts (30 ?g) were separated by 12% SDS-PAGE, and the membrane was blotted with Prohibitin antibody (GTX101105) diluted at 1:1000.
- Submitted by
- GeneTex (provider)
- Main image

- Experimental details
- Various whole cell extracts (30 ?g) were separated by 12% SDS-PAGE, and the membrane was blotted with Prohibitin antibody (GTX101105) diluted at 1:1000.
Supportive validation
- Submitted by
- GeneTex (provider)
- Main image

- Experimental details
- Confocal immunofluorescence analysis (Olympus FV10i) of methanol-fixed HeLa, using Prohibitin(GTX101105) antibody (Green) at 1:500 dilution. Alpha-tubulin filaments were labeled with GTX11304 (Red) at 1:2000.
- Submitted by
- GeneTex (provider)
- Main image

- Experimental details
- Prohibitin antibody detects Prohibitin protein at mitochondria by immunofluorescent analysis.Sample: SK-N-SH cells were fixed in 4% paraformaldehyde at RT for 15 min.Green: Prohibitin protein stained by Prohibitin antibody (GTX101105) diluted at 1:500.Red: Phalloidin, a cytoskeleton marker, diluted at 1:50.Blue: Hoechst 33342 staining.
- Submitted by
- GeneTex (provider)
- Main image

- Experimental details
- Prohibitin antibody detects Prohibitin protein at mitochondria by immunofluorescent analysis.Sample: HeLa cells were fixed in 4% paraformaldehyde at RT for 15 min.Green: Prohibitin protein stained by Prohibitin antibody (GTX101105) diluted at 1:500.Red: Phalloidin, a cytoskeleton marker, diluted at 1:100.Blue: Hoechst 33342 staining.
Supportive validation
- Submitted by
- GeneTex (provider)
- Main image

- Experimental details
- Immunoprecipitation of Prohibitin protein from 293T whole cell extracts using 5 £gg of Prohibitin antibody (GTX101105).Western blot analysis was performed using Prohibitin antibody (GTX101105).EasyBlot anti-Rabbit IgG (GTX221666-01) was used as a secondary reagent.
Supportive validation
- Submitted by
- GeneTex (provider)
- Main image

- Experimental details
- Immunohistochemical analysis of paraffin-embedded OVCAR3 xenograft, using Prohibitin(GTX101105) antibody at 1:500 dilution.
- Submitted by
- GeneTex (provider)
- Main image

- Experimental details
- Prohibitin antibody detects Prohibitin protein at mitochondria on mouse intestine by immunohistochemical analysis. Sample: Paraffin-embedded mouse intestine. Prohibitin antibody (GTX101105) dilution: 1:500.
- Submitted by
- GeneTex (provider)
- Main image

- Experimental details
- Prohibitin antibody detects Prohibitin protein at mitochondria in human breast carcinoma by immunohistochemical analysis. Sample: Paraffin-embedded human breast carcinoma. Prohibitin antibody (GTX101105) diluted at 1:500.
- Submitted by
- GeneTex (provider)
- Main image

- Experimental details
- Prohibitin antibody detects Prohibitin protein at cytoplasm in mouse intestine by immunohistochemical analysis. Sample: Paraffin-embedded mouse intestine. Prohibitin antibody (GTX101105) diluted at 1:500.
- Submitted by
- GeneTex (provider)
- Main image

- Experimental details
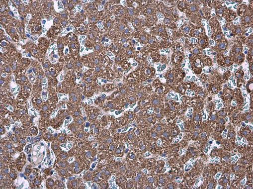
- Prohibitin antibody detects Prohibitin protein at cytoplasm in rat liver by immunohistochemical analysis. Sample: Paraffin-embedded rat liver. Prohibitin antibody (GTX101105) diluted at 1:500.